Размер шрифта:
Цвета сайта:
Изображения:
 

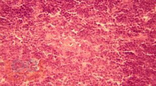
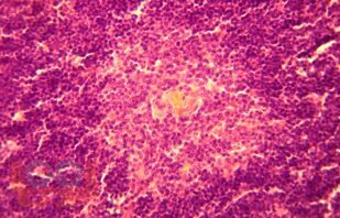
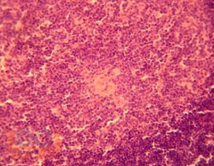
Тимус (морфология вилочковой железы при моторной депривации)

Большая медицинская библиотека
Read part of it
Подписка
Read part of it
Тимус (морфология вилочковой железы при моторной депривации) : монография / В. А. Агеева, А. И. Краюшкин, А. И. Перепелкин и др. - Волгоград : ВолгГМУ, 2020. - 124 c. - ISBN 9785965204892. - Текст : электронный // ЭБС "Букап" : [сайт]. - URL : https://www.books-up.ru/en/book/timus-morfologiya-vilochkovoj-zhelezy-pri-motornoj-deprivacii-12507914/ (дата обращения: 03.05.2026). - Режим доступа : по подписке.
Аннотация

Монография посвящена результатам исследования возрастной морфологии тимуса в условиях воздействия дозированной гиподинамии и гипокинезии, которые можно использовать в различных разделах школьной гигиены, педиатрии, иммунологии, возрастной морфологии, в спортивной медицине.
Книга предназначена для анатомов, гистологов, физиологов и может быть полезна для молодых ученых в области биологических и медицинских наук.

свернуть
Дополнительные материалы
Изображения 19

Ещё больше материалов после регистрации

Видео 0
В этом разделе еще нет дополнительных материалов, будьте первыми.
Аудио 0
В этом разделе еще нет дополнительных материалов, будьте первыми.
Документы 0
В этом разделе еще нет дополнительных материалов, будьте первыми.
Добавить материал
Большая медицинская библиотека
Тимус (морфология вилочковой железы при моторной депривации) : монография / В. А. Агеева, А. И. Краюшкин, А. И. Перепелкин и др. - Волгоград : ВолгГМУ, 2020. - 124 c. - ISBN 9785965204892. - Текст : электронный // ЭБС "Букап" : [сайт]. - URL : https://www.books-up.ru/en/book/timus-morfologiya-vilochkovoj-zhelezy-pri-motornoj-deprivacii-12507914/ (дата обращения: 03.05.2026). - Режим доступа : по подписке.
Подписка
6 месяцев
12 месяцев
Read part of it

Монография посвящена результатам исследования возрастной морфологии тимуса в условиях воздействия дозированной гиподинамии и гипокинезии, которые можно использовать в различных разделах школьной гигиены, педиатрии, иммунологии, возрастной морфологии, в спортивной медицине.
Книга предназначена для анатомов, гистологов, физиологов и может быть полезна для молодых ученых в области биологических и медицинских наук.

свернуть

Дополнительные материалы

Ещё больше материалов после регистрации

В этом разделе еще нет дополнительных материалов, будьте первыми.
В этом разделе еще нет дополнительных материалов, будьте первыми.
В этом разделе еще нет дополнительных материалов, будьте первыми.
Добавить материал

Похожие книги