Размер шрифта:
Цвета сайта:
Изображения:
 

Патология молочной железы

Читать отрывок
Подписка
Печатная версия
Читать отрывок
Патология молочной железы : атлас / О. В. Борисова, Н. Н. Волченко, А. А. Волченко и др. - М. : Практическая медицина, 2025. - 380 c. - ISBN 9785988118459. - Текст : электронный // ЭБС "Букап" : [сайт]. - URL : https://www.books-up.ru/ru/book/patologiya-molochnoj-zhelezy-19591817/ (дата обращения: 13.05.2026). - Режим доступа : по подписке.
Аннотация

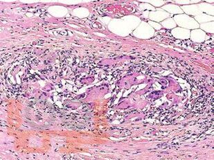
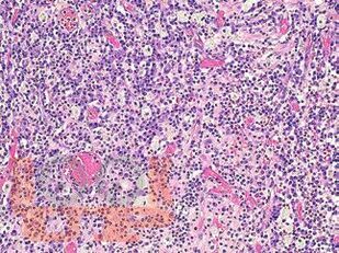
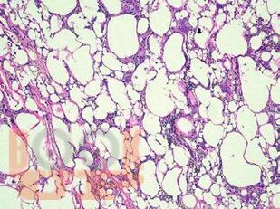
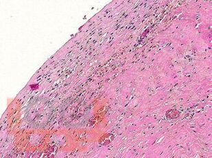
В атласе подробно изложено цитологическое и гистологическое описание всего спектра патологических изменений ткани молочной железы: неопухолевые, пролиферативные процессы, предраковые поражения, доброкачественные и злокачественные опухоли. Кратко представлены данные об этиологии, о патогенезе, молекулярной генетике, клинической картине и лучевых методах исследования различных поражений молочной железы. Подробно описаны дифференциальная диагностика и возможные ошибки морфологической диагностики. Атлас иллюстрирован большим количеством микрофотографий.
Традиционная морфология имеет фундаментальное значение в диагностической патологии. Атлас представляет собой реферативный текст, в котором обобщены имеющиеся на данный момент основные знания о патологии молочной железы, собранные из различных источников, и собственный опыт авторов. Текст построен в виде коротких фраз, постулирующих ключевые моменты различных поражений молочной железы.
Для патоморфологов, цитологов, маммологов, онкологов.

свернуть
Дополнительные материалы
Изображения 793

Ещё больше материалов после регистрации

Видео 0
В этом разделе еще нет дополнительных материалов, будьте первыми.
Аудио 0
В этом разделе еще нет дополнительных материалов, будьте первыми.
Документы 0
В этом разделе еще нет дополнительных материалов, будьте первыми.
Добавить материал
Патология молочной железы : атлас / О. В. Борисова, Н. Н. Волченко, А. А. Волченко и др. - М. : Практическая медицина, 2025. - 380 c. - ISBN 9785988118459. - Текст : электронный // ЭБС "Букап" : [сайт]. - URL : https://www.books-up.ru/ru/book/patologiya-molochnoj-zhelezy-19591817/ (дата обращения: 13.05.2026). - Режим доступа : по подписке.
Подписка
1 месяц
3 месяца
6 месяцев
12 месяцев
Печатная версия
Читать отрывок

В атласе подробно изложено цитологическое и гистологическое описание всего спектра патологических изменений ткани молочной железы: неопухолевые, пролиферативные процессы, предраковые поражения, доброкачественные и злокачественные опухоли. Кратко представлены данные об этиологии, о патогенезе, молекулярной генетике, клинической картине и лучевых методах исследования различных поражений молочной железы. Подробно описаны дифференциальная диагностика и возможные ошибки морфологической диагностики. Атлас иллюстрирован большим количеством микрофотографий.
Традиционная морфология имеет фундаментальное значение в диагностической патологии. Атлас представляет собой реферативный текст, в котором обобщены имеющиеся на данный момент основные знания о патологии молочной железы, собранные из различных источников, и собственный опыт авторов. Текст построен в виде коротких фраз, постулирующих ключевые моменты различных поражений молочной железы.
Для патоморфологов, цитологов, маммологов, онкологов.

свернуть

Дополнительные материалы

Ещё больше материалов после регистрации

В этом разделе еще нет дополнительных материалов, будьте первыми.
В этом разделе еще нет дополнительных материалов, будьте первыми.
В этом разделе еще нет дополнительных материалов, будьте первыми.
Добавить материал

Похожие книги