Размер шрифта:
Цвета сайта:
Изображения:
 

Опухоли яичника

Читать отрывок
Подписка
Читать отрывок
Нейштадт Э. Л. Опухоли яичника / Э. Л. Нейштадт, И. Н. Ожиганова. - СПб. : Фолиант, 2017. - 352 c. - ISBN 9785939292528. - Текст : электронный // ЭБС "Букап" : [сайт]. - URL : https://www.books-up.ru/ru/book/opuholi-yaichnika-5746663/ (дата обращения: 15.01.2026). - Режим доступа : по подписке.
Аннотация

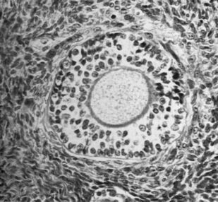
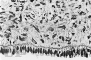
Руководство посвящено прижизненной морфологической диагностике опухолей яичников. В нем приводятся клинико-морфологические характеристики доброкачественных, пограничных и злокачественных новообразований, а также неопухолевых процессов, которые нередко могут имитировать опухоли яичников. Наибольшее внимание уделено дифференциальной диагностике этих заболеваний. Отдельная глава посвящена эмбриогенезу и возрастным особенностям яичников, знание которых существенно расширяет дифференциально-диагностические возможности. Изложение основного материала сопровождается описанием конкретных правил обработки биопсийного и операционного онкологического материала. 
Руководство имеет выраженный прикладной характер и ориентировано на удовлетворение запросов практических клинических патологов, онкологов, гинекологов и лиц, обучающихся этим дисциплинам.

свернуть
Дополнительные материалы
Изображения 183

Ещё больше материалов после регистрации

Видео 0
В этом разделе еще нет дополнительных материалов, будьте первыми.
Аудио 0
В этом разделе еще нет дополнительных материалов, будьте первыми.
Документы 0
В этом разделе еще нет дополнительных материалов, будьте первыми.
Добавить материал
Нейштадт Э. Л. Опухоли яичника / Э. Л. Нейштадт, И. Н. Ожиганова. - СПб. : Фолиант, 2017. - 352 c. - ISBN 9785939292528. - Текст : электронный // ЭБС "Букап" : [сайт]. - URL : https://www.books-up.ru/ru/book/opuholi-yaichnika-5746663/ (дата обращения: 15.01.2026). - Режим доступа : по подписке.
Подписка
1 месяц
3 месяца
6 месяцев
12 месяцев
Читать отрывок

Руководство посвящено прижизненной морфологической диагностике опухолей яичников. В нем приводятся клинико-морфологические характеристики доброкачественных, пограничных и злокачественных новообразований, а также неопухолевых процессов, которые нередко могут имитировать опухоли яичников. Наибольшее внимание уделено дифференциальной диагностике этих заболеваний. Отдельная глава посвящена эмбриогенезу и возрастным особенностям яичников, знание которых существенно расширяет дифференциально-диагностические возможности. Изложение основного материала сопровождается описанием конкретных правил обработки биопсийного и операционного онкологического материала. 
Руководство имеет выраженный прикладной характер и ориентировано на удовлетворение запросов практических клинических патологов, онкологов, гинекологов и лиц, обучающихся этим дисциплинам.

свернуть

Дополнительные материалы

Ещё больше материалов после регистрации

В этом разделе еще нет дополнительных материалов, будьте первыми.
В этом разделе еще нет дополнительных материалов, будьте первыми.
В этом разделе еще нет дополнительных материалов, будьте первыми.
Добавить материал

Похожие книги