Размер шрифта:
Цвета сайта:
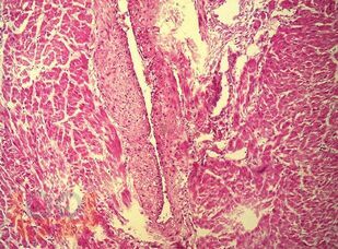
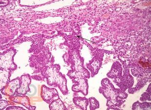
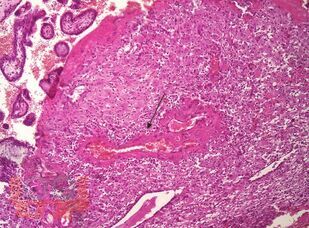
Изображения:
 

Патологическая анатомия акушерских заболеваний

Читать отрывок
Подписка
Печатная версия
Читать отрывок
Надеев А. П. Патологическая анатомия акушерских заболеваний : Монография / А. П. Надеев, В. А. Жукова. - М. : Практическая медицина, 2024. - 200 c. - ISBN 9785988117445. - Текст : электронный // ЭБС "Букап" : [сайт]. - URL : https://www.books-up.ru/ru/book/patologicheskaya-anatomiya-akusherskih-zabolevanij-17658943/ (дата обращения: 30.04.2026). - Режим доступа : по подписке.
Аннотация

В монографии изложены современные представления об этиологии, патогенезе заболеваний беременности, родов и послеродового периода, патоморфологических изменениях в органах и тканях при акушерских заболеваниях и экстрагенитальных нозологиях, являющихся ведущими в структуре материнской смертности; представлены особенности патологоанатомического исследования и формулирования патологоанатомического диагноза при материнской смерти.

Для патологоанатомов, судебно-медицинских экспертов, акушеров-гинекологов, анестезиологов-реаниматологов.

свернуть
Дополнительные материалы
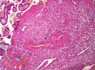
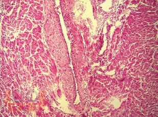
Изображения 123

Ещё больше материалов после регистрации

Видео 0
В этом разделе еще нет дополнительных материалов, будьте первыми.
Аудио 0
В этом разделе еще нет дополнительных материалов, будьте первыми.
Документы 0
В этом разделе еще нет дополнительных материалов, будьте первыми.
Добавить материал
Надеев А. П. Патологическая анатомия акушерских заболеваний : Монография / А. П. Надеев, В. А. Жукова. - М. : Практическая медицина, 2024. - 200 c. - ISBN 9785988117445. - Текст : электронный // ЭБС "Букап" : [сайт]. - URL : https://www.books-up.ru/ru/book/patologicheskaya-anatomiya-akusherskih-zabolevanij-17658943/ (дата обращения: 30.04.2026). - Режим доступа : по подписке.
Подписка
1 месяц
3 месяца
6 месяцев
12 месяцев
Печатная версия
Читать отрывок

В монографии изложены современные представления об этиологии, патогенезе заболеваний беременности, родов и послеродового периода, патоморфологических изменениях в органах и тканях при акушерских заболеваниях и экстрагенитальных нозологиях, являющихся ведущими в структуре материнской смертности; представлены особенности патологоанатомического исследования и формулирования патологоанатомического диагноза при материнской смерти.

Для патологоанатомов, судебно-медицинских экспертов, акушеров-гинекологов, анестезиологов-реаниматологов.

свернуть

Дополнительные материалы

Ещё больше материалов после регистрации

В этом разделе еще нет дополнительных материалов, будьте первыми.
В этом разделе еще нет дополнительных материалов, будьте первыми.
В этом разделе еще нет дополнительных материалов, будьте первыми.
Добавить материал

Похожие книги