Размер шрифта:
Цвета сайта:
Изображения:
 

Гнойно-воспалительные заболевания органов малого таза. Современные подходы к лечению и реабилитации

Большая медицинская библиотека
Читать отрывок
Подписка
Читать отрывок
Андреева М. В. Гнойно-воспалительные заболевания органов малого таза. Современные подходы к лечению и реабилитации : Монография / М. В. Андреева, Е. П. Шевцова. - Волгоград : ВолгГМУ, 2023. - 120 c. - ISBN 9785965208968. - Текст : электронный // ЭБС "Букап" : [сайт]. - URL : https://www.books-up.ru/ru/book/gnojno-vospalitelnye-zabolevaniya-organov-malogo-taza-sovremennye-podhody-k-lecheniyu-i-reabilitacii-16564142/ (дата обращения: 10.05.2026). - Режим доступа : по подписке.
Аннотация

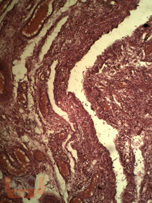
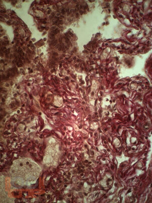
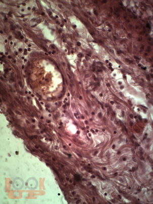
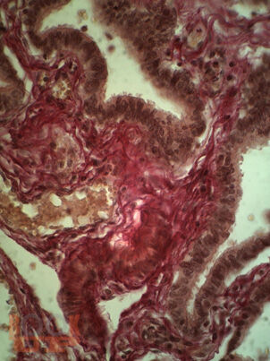
В монографии изложены данные отечественных и зарубежных авторов, результаты собственных исследований, посвященных современным проблемам воспалительных заболеваний органов малого таза (ВЗОМТ). Особое внимание уделено комплексному методу лечения и реабилитации осложненных форм ВЗОМТ с включением квантовой терапии. В монографии представлены собственные результаты клинико-лабораторных, инструментальных методов обследования пациенток с гнойными тубоовариальными образованиями, а также результаты применения квантовой терапии.

Монография адресована врачам - акушерам-гинекологам, аспирантам, клиническим ординаторам, студентам медицинских вузов, а также врачам-физиотерапевтам и врачам других специальностей, осуществляющим лечение больных с ВЗОМТ.

свернуть
Дополнительные материалы
Изображения 12

Ещё больше материалов после регистрации

Видео 0
В этом разделе еще нет дополнительных материалов, будьте первыми.
Аудио 0
В этом разделе еще нет дополнительных материалов, будьте первыми.
Документы 0
В этом разделе еще нет дополнительных материалов, будьте первыми.
Добавить материал
Большая медицинская библиотека
Андреева М. В. Гнойно-воспалительные заболевания органов малого таза. Современные подходы к лечению и реабилитации : Монография / М. В. Андреева, Е. П. Шевцова. - Волгоград : ВолгГМУ, 2023. - 120 c. - ISBN 9785965208968. - Текст : электронный // ЭБС "Букап" : [сайт]. - URL : https://www.books-up.ru/ru/book/gnojno-vospalitelnye-zabolevaniya-organov-malogo-taza-sovremennye-podhody-k-lecheniyu-i-reabilitacii-16564142/ (дата обращения: 10.05.2026). - Режим доступа : по подписке.
Подписка
6 месяцев
12 месяцев
Читать отрывок

В монографии изложены данные отечественных и зарубежных авторов, результаты собственных исследований, посвященных современным проблемам воспалительных заболеваний органов малого таза (ВЗОМТ). Особое внимание уделено комплексному методу лечения и реабилитации осложненных форм ВЗОМТ с включением квантовой терапии. В монографии представлены собственные результаты клинико-лабораторных, инструментальных методов обследования пациенток с гнойными тубоовариальными образованиями, а также результаты применения квантовой терапии.

Монография адресована врачам - акушерам-гинекологам, аспирантам, клиническим ординаторам, студентам медицинских вузов, а также врачам-физиотерапевтам и врачам других специальностей, осуществляющим лечение больных с ВЗОМТ.

свернуть

Дополнительные материалы

Ещё больше материалов после регистрации

В этом разделе еще нет дополнительных материалов, будьте первыми.
В этом разделе еще нет дополнительных материалов, будьте первыми.
В этом разделе еще нет дополнительных материалов, будьте первыми.
Добавить материал

Похожие книги