Размер шрифта:
Цвета сайта:
Изображения:
 

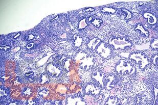
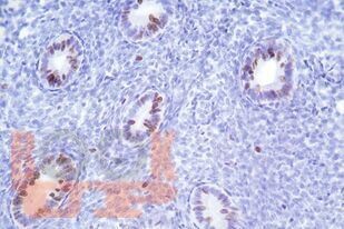
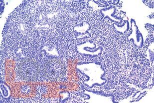
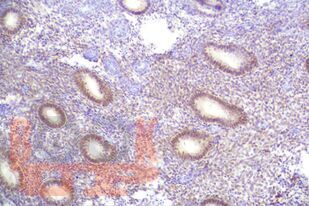
Полипы эндометрия

Читать отрывок
Подписка
Печатная версия
Читать отрывок
Казачков Е. Л. Полипы эндометрия : учебное пособие / Е. Л. Казачков, Э. А. Казачкова, Е. Е. Воропаева. - М. : Практическая медицина, 2025. - 112 c. - ISBN 9785988118275. - Текст : электронный // ЭБС "Букап" : [сайт]. - URL : https://www.books-up.ru/ru/book/polipy-endometriya-19592009/ (дата обращения: 11.05.2026). - Режим доступа : по подписке.
Аннотация

Учебное пособие содержит материалы, касающиеся терминологии, распространенности, современных классификационных принципов, морфологии и терапии эндометриальных полипов. Пособие составлено в соответствии с рабочими программами дисциплин «Патологическая анатомия», «Акушерство и гинекология» и разработано с учетом положения «Требования к структуре, содержанию и порядку оформления учебных изданий» СМК П 13-2019, утвержденного приказом ректора ФГБОУ ВО ЮУГМУ Минздрава России от 30.08.2019 № 215, введено в действие с 02.09.2019.
Пособие предназначено для аудиторных занятий и самостоятельной работы слушателей системы послевузовского и дополнительного профессионального образования врачей по дисциплинам «Патологическая анатомия» и «Акушерство и гинекология».
Для патоморфологов и акушеров-гинекологов.

свернуть
Дополнительные материалы
Изображения 31

Ещё больше материалов после регистрации

Видео 0
В этом разделе еще нет дополнительных материалов, будьте первыми.
Аудио 0
В этом разделе еще нет дополнительных материалов, будьте первыми.
Документы 0
В этом разделе еще нет дополнительных материалов, будьте первыми.
Добавить материал
Казачков Е. Л. Полипы эндометрия : учебное пособие / Е. Л. Казачков, Э. А. Казачкова, Е. Е. Воропаева. - М. : Практическая медицина, 2025. - 112 c. - ISBN 9785988118275. - Текст : электронный // ЭБС "Букап" : [сайт]. - URL : https://www.books-up.ru/ru/book/polipy-endometriya-19592009/ (дата обращения: 11.05.2026). - Режим доступа : по подписке.
Подписка
3 месяца
6 месяцев
12 месяцев
Печатная версия
Читать отрывок

Учебное пособие содержит материалы, касающиеся терминологии, распространенности, современных классификационных принципов, морфологии и терапии эндометриальных полипов. Пособие составлено в соответствии с рабочими программами дисциплин «Патологическая анатомия», «Акушерство и гинекология» и разработано с учетом положения «Требования к структуре, содержанию и порядку оформления учебных изданий» СМК П 13-2019, утвержденного приказом ректора ФГБОУ ВО ЮУГМУ Минздрава России от 30.08.2019 № 215, введено в действие с 02.09.2019.
Пособие предназначено для аудиторных занятий и самостоятельной работы слушателей системы послевузовского и дополнительного профессионального образования врачей по дисциплинам «Патологическая анатомия» и «Акушерство и гинекология».
Для патоморфологов и акушеров-гинекологов.

свернуть

Дополнительные материалы

Ещё больше материалов после регистрации

В этом разделе еще нет дополнительных материалов, будьте первыми.
В этом разделе еще нет дополнительных материалов, будьте первыми.
В этом разделе еще нет дополнительных материалов, будьте первыми.
Добавить материал

Похожие книги