Размер шрифта:
Цвета сайта:
Изображения:
 

Канцероматозный лимфангит. Атлас

Большая медицинская библиотека
Читать отрывок
Подписка
Читать отрывок
Канцероматозный лимфангит. Атлас : Атлас / М. В. Завьялова, А. В. Завьялов, Е. С. Пудова и др. - Томск : Издательство СибГМУ, 2024. - 65 c. - Текст : электронный // ЭБС "Букап" : [сайт]. - URL : https://www.books-up.ru/ru/book/kanceromatoznyj-limfangit-atlas-18660872/ (дата обращения: 28.04.2026). - Режим доступа : по подписке.
Аннотация

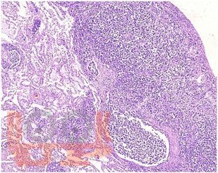
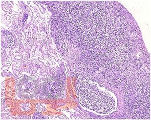
В атласе представлены авторские снимки макро- и микропрепаратов, демонстрирующих проявления канцероматозного лимфангита. В цветных иллюстрациях в описании макро- и микропрепаратов сделан акцент на наиболее важных макроскопических и гистологических изменениях, позволяющих диагностировать и дифференцировать канцероматозный лимфангит. Микропрепараты подготовлены Завьяловой М.В.

Атлас помогает выделить ключевые макро- и микроскопические изменения, ассоциированные с возникновением канцероматозного лимфангита, оценить значение данного процесса для прогноза онкологических больных, использовать полученную информацию в дальнейшей практической деятельности. Атлас предназначен для студентов, ординаторов, врачей-патологоанатомов, онкологов при последипломном обучении, преподавателей кафедр патологической анатомии и онкологии медицинских вузов, а также будет полезен врачам всех специальностей.

свернуть
Дополнительные материалы
Изображения 53

Ещё больше материалов после регистрации

Видео 0
В этом разделе еще нет дополнительных материалов, будьте первыми.
Аудио 0
В этом разделе еще нет дополнительных материалов, будьте первыми.
Документы 0
В этом разделе еще нет дополнительных материалов, будьте первыми.
Добавить материал
Большая медицинская библиотека
Канцероматозный лимфангит. Атлас : Атлас / М. В. Завьялова, А. В. Завьялов, Е. С. Пудова и др. - Томск : Издательство СибГМУ, 2024. - 65 c. - Текст : электронный // ЭБС "Букап" : [сайт]. - URL : https://www.books-up.ru/ru/book/kanceromatoznyj-limfangit-atlas-18660872/ (дата обращения: 28.04.2026). - Режим доступа : по подписке.
Подписка
6 месяцев
12 месяцев
Читать отрывок

В атласе представлены авторские снимки макро- и микропрепаратов, демонстрирующих проявления канцероматозного лимфангита. В цветных иллюстрациях в описании макро- и микропрепаратов сделан акцент на наиболее важных макроскопических и гистологических изменениях, позволяющих диагностировать и дифференцировать канцероматозный лимфангит. Микропрепараты подготовлены Завьяловой М.В.

Атлас помогает выделить ключевые макро- и микроскопические изменения, ассоциированные с возникновением канцероматозного лимфангита, оценить значение данного процесса для прогноза онкологических больных, использовать полученную информацию в дальнейшей практической деятельности. Атлас предназначен для студентов, ординаторов, врачей-патологоанатомов, онкологов при последипломном обучении, преподавателей кафедр патологической анатомии и онкологии медицинских вузов, а также будет полезен врачам всех специальностей.

свернуть

Дополнительные материалы

Ещё больше материалов после регистрации

В этом разделе еще нет дополнительных материалов, будьте первыми.
В этом разделе еще нет дополнительных материалов, будьте первыми.
В этом разделе еще нет дополнительных материалов, будьте первыми.
Добавить материал

Похожие книги