Размер шрифта:
Цвета сайта:
Изображения:
 

Болезни органов дыхания в 2 ч. Ч. 1

Большая медицинская библиотека
Read part of it
Подписка
Read part of it
Болезни органов дыхания в 2 ч. Ч. 1 = Пневмония. Острые инфекционные деструкции легких : Учебное пособие / Г. Х. Мирсаева, Г. А. Мавзютова, Р. М. Фазлыева и др. - 2-е изд., перераб. и доп.. - Уфа : БГМУ, 2021. - 132 c. - Текст : электронный // ЭБС "Букап" : [сайт]. - URL : https://www.books-up.ru/en/book/bolezni-organov-dyhaniya-v-2-ch-ch-1-16080309/ (дата обращения: 30.04.2026). - Режим доступа : по подписке.
Аннотация

Учебное пособие составлено на основании рабочей программы дисциплины «Факультетская терапия» для обучающихся по специальности 31.05.01 Лечебное дело в соответствии с ФГОС ВО 3++ с учетом профессионального стандарта, а также рабочей программы дисциплины «Факультетская терапия» для обучающихся по специальности 31.05.02 Педиатрия в соответствии с ФГОС ВО 3++ с учетом профессионального стандарта, согласно учебным планам ООП ВО по указанным специальностям, современным международным и российским клиническим рекомендациям последнего пересмотра.

Представлен учебный материал по разделу «Болезни органов дыхания» в 2 частях.

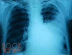
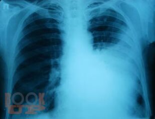
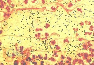
В части I представлен учебный материал по темам «Пневмония» и «Острые инфекционные деструкции легких». По каждой теме изложены современные научные данные по этиологии, патогенезе, классификации, клинике, методах диагностики, лечения и профилактики заболеваний, способствующие формированию у обучающихся общепрофессиональных компетенций ОПК-4, ОПК-5, ОПК-7 и профессиональных компетенций ПК-5, ПК-6, ПК-8, ПК-10, ПК-11. Для самоконтроля обучающимися сформированности компетенций предложены тестовые задания и ситуационные задачи с эталонами ответов, составленные авторами по учебному материалу с учетом индикаторов достижения компетенций.

свернуть
Дополнительные материалы
Изображения 33

Ещё больше материалов после регистрации

Видео 0
В этом разделе еще нет дополнительных материалов, будьте первыми.
Аудио 0
В этом разделе еще нет дополнительных материалов, будьте первыми.
Документы 0
В этом разделе еще нет дополнительных материалов, будьте первыми.
Добавить материал
Большая медицинская библиотека
Болезни органов дыхания в 2 ч. Ч. 1 = Пневмония. Острые инфекционные деструкции легких : Учебное пособие / Г. Х. Мирсаева, Г. А. Мавзютова, Р. М. Фазлыева и др. - 2-е изд., перераб. и доп.. - Уфа : БГМУ, 2021. - 132 c. - Текст : электронный // ЭБС "Букап" : [сайт]. - URL : https://www.books-up.ru/en/book/bolezni-organov-dyhaniya-v-2-ch-ch-1-16080309/ (дата обращения: 30.04.2026). - Режим доступа : по подписке.
Подписка
6 месяцев
12 месяцев
Read part of it

Учебное пособие составлено на основании рабочей программы дисциплины «Факультетская терапия» для обучающихся по специальности 31.05.01 Лечебное дело в соответствии с ФГОС ВО 3++ с учетом профессионального стандарта, а также рабочей программы дисциплины «Факультетская терапия» для обучающихся по специальности 31.05.02 Педиатрия в соответствии с ФГОС ВО 3++ с учетом профессионального стандарта, согласно учебным планам ООП ВО по указанным специальностям, современным международным и российским клиническим рекомендациям последнего пересмотра.

Представлен учебный материал по разделу «Болезни органов дыхания» в 2 частях.

В части I представлен учебный материал по темам «Пневмония» и «Острые инфекционные деструкции легких». По каждой теме изложены современные научные данные по этиологии, патогенезе, классификации, клинике, методах диагностики, лечения и профилактики заболеваний, способствующие формированию у обучающихся общепрофессиональных компетенций ОПК-4, ОПК-5, ОПК-7 и профессиональных компетенций ПК-5, ПК-6, ПК-8, ПК-10, ПК-11. Для самоконтроля обучающимися сформированности компетенций предложены тестовые задания и ситуационные задачи с эталонами ответов, составленные авторами по учебному материалу с учетом индикаторов достижения компетенций.

свернуть

Дополнительные материалы

Ещё больше материалов после регистрации

В этом разделе еще нет дополнительных материалов, будьте первыми.
В этом разделе еще нет дополнительных материалов, будьте первыми.
В этом разделе еще нет дополнительных материалов, будьте первыми.
Добавить материал

Похожие книги