Размер шрифта:
Цвета сайта:
Изображения:
 

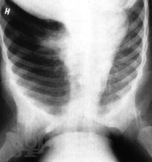
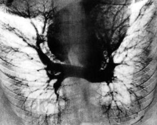
Хронические заболевания легких у детей

3

Read part of it
Подписка
Печатная версия
Read part of it
Розинова Н. Н. Хронические заболевания легких у детей / Н. Н. Розинова, Ю. Л. Мизерницкий. - М. : Практика, 2011. - 224 c. - ISBN 9785898161064. - Текст : электронный // ЭБС "Букап" : [сайт]. - URL : https://www.books-up.ru/en/book/hronicheskie-zabolevaniya-legkih-u-detej-88693/ (дата обращения: 18.05.2026). - Режим доступа : по подписке.
Аннотация

В монографии представлены важнейшие хронические заболевания легких у детей, рассмотрены вопросы терминологии и классификации этих болезней. Описаны клинические проявления различных форм хронической бронхолегочной патологии, даны критерии и современные методы диагностики. Отдельные главы посвящены хроническим воспалительным заболеваниям легких, врожденной и наследственной патологии, бронхиальной астме, интерстициальным болезням легких, грибковым поражениям бронхолегочной системы. Рассмотрены особенности течения туберкулеза при хронических неспецифических заболеваниях легких. Изложены принципы терапии хронических заболеваний легких у детей. Книга адресована педиатрам, пульмонологам, аллергологам, врачам общей практики, сотрудникам научно-исследовательских учреждений и учебных заведений.

свернуть
Дополнительные материалы
Изображения 60

Ещё больше материалов после регистрации

Видео 0
В этом разделе еще нет дополнительных материалов, будьте первыми.
Аудио 0
В этом разделе еще нет дополнительных материалов, будьте первыми.
Документы 0
В этом разделе еще нет дополнительных материалов, будьте первыми.
Добавить материал
Розинова Н. Н. Хронические заболевания легких у детей / Н. Н. Розинова, Ю. Л. Мизерницкий. - М. : Практика, 2011. - 224 c. - ISBN 9785898161064. - Текст : электронный // ЭБС "Букап" : [сайт]. - URL : https://www.books-up.ru/en/book/hronicheskie-zabolevaniya-legkih-u-detej-88693/ (дата обращения: 18.05.2026). - Режим доступа : по подписке.
Подписка
6 месяцев
12 месяцев
Печатная версия
Read part of it

В монографии представлены важнейшие хронические заболевания легких у детей, рассмотрены вопросы терминологии и классификации этих болезней. Описаны клинические проявления различных форм хронической бронхолегочной патологии, даны критерии и современные методы диагностики. Отдельные главы посвящены хроническим воспалительным заболеваниям легких, врожденной и наследственной патологии, бронхиальной астме, интерстициальным болезням легких, грибковым поражениям бронхолегочной системы. Рассмотрены особенности течения туберкулеза при хронических неспецифических заболеваниях легких. Изложены принципы терапии хронических заболеваний легких у детей. Книга адресована педиатрам, пульмонологам, аллергологам, врачам общей практики, сотрудникам научно-исследовательских учреждений и учебных заведений.

свернуть

Дополнительные материалы

Ещё больше материалов после регистрации

В этом разделе еще нет дополнительных материалов, будьте первыми.
В этом разделе еще нет дополнительных материалов, будьте первыми.
В этом разделе еще нет дополнительных материалов, будьте первыми.
Добавить материал

Похожие книги