Размер шрифта:
Цвета сайта:
Изображения:
 

Пульмонология детского возраста: проблемы и решения. Выпуск 21

Read part of it
Подписка
Read part of it
Мизерницкий Ю. Л. Пульмонология детского возраста: проблемы и решения. Выпуск 21 / Ю. Л. Мизерницкий. - М. : Медпрактика-М, 2021. - 172 c. - ISBN 9785988034513. - Текст : электронный // ЭБС "Букап" : [сайт]. - URL : https://www.books-up.ru/en/book/pulmonologiya-detskogo-vozrasta-problemy-i-resheniya-vypusk-21-18395398/ (дата обращения: 19.05.2026). - Режим доступа : по подписке.
Аннотация

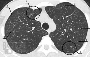
Сборник включает вызвавшие наибольший интерес аудитории лекции и доклады на различных научно-практических конференциях в 2020-2021 гг. по актуальным проблемам пульмонологии и аллергологии детского возраста, таким как: современные методы диагностики и лечения, острые и хронические инфекционно-воспалительные и аллергические заболевания органов дыхания, муковисцидоз, туберкулез органов дыхания, COVID-19, а также различные другие информационные материалы. Ежегодник адресован практикующим детским пульмонологам и аллергологам.

свернуть
Дополнительные материалы
Изображения 7

Ещё больше материалов после регистрации

Видео 0
В этом разделе еще нет дополнительных материалов, будьте первыми.
Аудио 0
В этом разделе еще нет дополнительных материалов, будьте первыми.
Документы 0
В этом разделе еще нет дополнительных материалов, будьте первыми.
Добавить материал
Мизерницкий Ю. Л. Пульмонология детского возраста: проблемы и решения. Выпуск 21 / Ю. Л. Мизерницкий. - М. : Медпрактика-М, 2021. - 172 c. - ISBN 9785988034513. - Текст : электронный // ЭБС "Букап" : [сайт]. - URL : https://www.books-up.ru/en/book/pulmonologiya-detskogo-vozrasta-problemy-i-resheniya-vypusk-21-18395398/ (дата обращения: 19.05.2026). - Режим доступа : по подписке.
Подписка
6 месяцев
12 месяцев
Read part of it

Сборник включает вызвавшие наибольший интерес аудитории лекции и доклады на различных научно-практических конференциях в 2020-2021 гг. по актуальным проблемам пульмонологии и аллергологии детского возраста, таким как: современные методы диагностики и лечения, острые и хронические инфекционно-воспалительные и аллергические заболевания органов дыхания, муковисцидоз, туберкулез органов дыхания, COVID-19, а также различные другие информационные материалы. Ежегодник адресован практикующим детским пульмонологам и аллергологам.

свернуть

Дополнительные материалы

Ещё больше материалов после регистрации

В этом разделе еще нет дополнительных материалов, будьте первыми.
В этом разделе еще нет дополнительных материалов, будьте первыми.
В этом разделе еще нет дополнительных материалов, будьте первыми.
Добавить материал

Похожие книги