Размер шрифта:
Цвета сайта:
Изображения:
 

Орфанные заболевания легких у детей

3

Read part of it
Подписка
Read part of it
Розинова Н. Н. Орфанные заболевания легких у детей / Н. Н. Розинова, Ю. Л. Мизерницкий. - М. : Медпрактика-М, 2015. - 240 c. - ISBN 9785988033479. - Текст : электронный // ЭБС "Букап" : [сайт]. - URL : https://www.books-up.ru/en/book/orfannye-zabolevaniya-legkih-u-detej-2715838/ (дата обращения: 17.05.2026). - Режим доступа : по подписке.
Аннотация

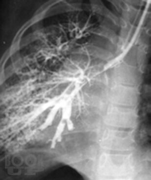
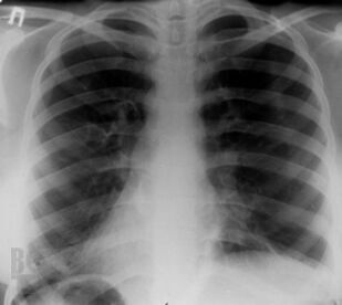
Монография посвящена актуальной проблеме редких (орфанных) заболеваний легких у детей, включающих как собственно наследственные, врожденные, интерстициальные и другие редкие заболевания легких, так и легочные поражения при разнообразной другой редкой патологии. В книге обобщены современные мировые данные, а также многолетний опыт сотрудников клиники пульмонологии Московского НИИ педиатрии и детской хирургии (ныне – НИКИ педиатрии им. акад. Ю.Е. Вельтищева РНИМУ им. Н.И.Пирогова). Для работы над рядом глав привлечены ведущие специалисты из других учреждений страны. Монография адресована детским пульмонологам и аллергологам, практикующим педиатрам и врачам общей практики, другим специалистам, интересущимся орфанной патологией.

свернуть
Дополнительные материалы
Изображения 47

Ещё больше материалов после регистрации

Видео 0
В этом разделе еще нет дополнительных материалов, будьте первыми.
Аудио 0
В этом разделе еще нет дополнительных материалов, будьте первыми.
Документы 0
В этом разделе еще нет дополнительных материалов, будьте первыми.
Добавить материал
Розинова Н. Н. Орфанные заболевания легких у детей / Н. Н. Розинова, Ю. Л. Мизерницкий. - М. : Медпрактика-М, 2015. - 240 c. - ISBN 9785988033479. - Текст : электронный // ЭБС "Букап" : [сайт]. - URL : https://www.books-up.ru/en/book/orfannye-zabolevaniya-legkih-u-detej-2715838/ (дата обращения: 17.05.2026). - Режим доступа : по подписке.
Подписка
6 месяцев
12 месяцев
Read part of it

Монография посвящена актуальной проблеме редких (орфанных) заболеваний легких у детей, включающих как собственно наследственные, врожденные, интерстициальные и другие редкие заболевания легких, так и легочные поражения при разнообразной другой редкой патологии. В книге обобщены современные мировые данные, а также многолетний опыт сотрудников клиники пульмонологии Московского НИИ педиатрии и детской хирургии (ныне – НИКИ педиатрии им. акад. Ю.Е. Вельтищева РНИМУ им. Н.И.Пирогова). Для работы над рядом глав привлечены ведущие специалисты из других учреждений страны. Монография адресована детским пульмонологам и аллергологам, практикующим педиатрам и врачам общей практики, другим специалистам, интересущимся орфанной патологией.

свернуть

Дополнительные материалы

Ещё больше материалов после регистрации

В этом разделе еще нет дополнительных материалов, будьте первыми.
В этом разделе еще нет дополнительных материалов, будьте первыми.
В этом разделе еще нет дополнительных материалов, будьте первыми.
Добавить материал

Похожие книги