Размер шрифта:
Цвета сайта:
Изображения:
 

Пневмония у детей

Большая медицинская библиотека
Read part of it
Подписка
Read part of it
Пневмония у детей / Р. М. Файзуллина, В. В. Викторов, Р. Р. Гафурова и др. - Уфа : БГМУ, 2019. - 107 c. - Текст : электронный // ЭБС "Букап" : [сайт]. - URL : https://www.books-up.ru/en/book/pnevmoniya-u-detej-11708193/ (дата обращения: 19.01.2026). - Режим доступа : по подписке.
Аннотация

Учебное пособие подготовлено в соответствии ФГОС ВО по специальности 31.05.02 «Педиатрия» и ООП специальности «Педиатрия» 2017 года для изучения дисциплины «Факультетская педиатрия» на основании рабочей программы 2018 года и действующего учебного плана 2018 г.
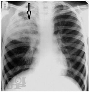
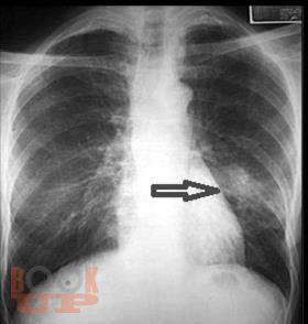
Излагается современная информация по классификации пневмонии у детей, ее эпидемиологии, этиологии, клинических особенностях в зависимости от этиологических и анатомо-физиологических факторов и фоновых заболеваний. Значительная часть пособия посвящена диагностике, принципам современной антибактериальной терапии с последних достижений в педиатрии.
Оснащено тестовыми заданиями и ситуационными задачами с эталонами ответов, приложениями.
Предназначено для обучающихся по основной образовательной программе высшего образования по специальности 31.05.02 «Педиатрия».

свернуть
Дополнительные материалы
Изображения 16

Ещё больше материалов после регистрации

Видео 0
В этом разделе еще нет дополнительных материалов, будьте первыми.
Аудио 0
В этом разделе еще нет дополнительных материалов, будьте первыми.
Документы 0
В этом разделе еще нет дополнительных материалов, будьте первыми.
Добавить материал
Большая медицинская библиотека
Пневмония у детей / Р. М. Файзуллина, В. В. Викторов, Р. Р. Гафурова и др. - Уфа : БГМУ, 2019. - 107 c. - Текст : электронный // ЭБС "Букап" : [сайт]. - URL : https://www.books-up.ru/en/book/pnevmoniya-u-detej-11708193/ (дата обращения: 19.01.2026). - Режим доступа : по подписке.
Подписка
6 месяцев
12 месяцев
Read part of it

Учебное пособие подготовлено в соответствии ФГОС ВО по специальности 31.05.02 «Педиатрия» и ООП специальности «Педиатрия» 2017 года для изучения дисциплины «Факультетская педиатрия» на основании рабочей программы 2018 года и действующего учебного плана 2018 г.
Излагается современная информация по классификации пневмонии у детей, ее эпидемиологии, этиологии, клинических особенностях в зависимости от этиологических и анатомо-физиологических факторов и фоновых заболеваний. Значительная часть пособия посвящена диагностике, принципам современной антибактериальной терапии с последних достижений в педиатрии.
Оснащено тестовыми заданиями и ситуационными задачами с эталонами ответов, приложениями.
Предназначено для обучающихся по основной образовательной программе высшего образования по специальности 31.05.02 «Педиатрия».

свернуть

Дополнительные материалы

Ещё больше материалов после регистрации

В этом разделе еще нет дополнительных материалов, будьте первыми.
В этом разделе еще нет дополнительных материалов, будьте первыми.
В этом разделе еще нет дополнительных материалов, будьте первыми.
Добавить материал

Похожие книги