Размер шрифта:
Цвета сайта:
Изображения:
 

Патологическая анатомия. Атлас для стоматологов

Большая медицинская библиотека
Читать отрывок
Подписка
Читать отрывок
Патологическая анатомия. Атлас для стоматологов : Учебное пособие / М. В. Завьялова, С. В. Вторушин, И. Л. Пурлик и др. - Томск : Издательство СибГМУ, 2024. - 297 c. - Текст : электронный // ЭБС "Букап" : [сайт]. - URL : https://www.books-up.ru/ru/book/patologicheskaya-anatomiya-atlas-dlya-stomatologov-18660515/ (дата обращения: 28.04.2026). - Режим доступа : по подписке.
Аннотация

Атлас разработан по дисциплине «Патологическая анатомия» в соответствии с Федеральным государственным образовательным стандартом высшего профессионального образования для студентов, обучающихся по основным образовательным программам высшего образования - программам специалитета по специальности «Стоматология».

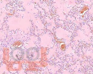
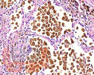
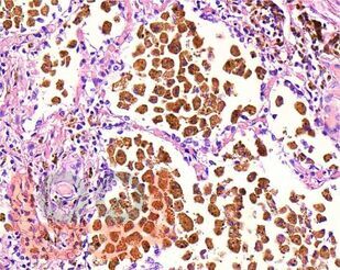
В атласе представлены авторские снимки макро- и микропрепаратов, демонстрирующих типовые проявления патологических процессов. В цветных иллюстрациях в описании макро- и микропрепаратов сделан акцент на наиболее важных макроскопических и гистологических изменениях, позволяющих диагностировать и дифференцировать состояния, отклоняющиеся от нормы, в том числе с использованием различных гистологических окрасок. Атлас помогает выделить главные аспекты изучаемых патологических процессов, организовать и конкретизировать учебный процесс.

свернуть
Дополнительные материалы
Изображения 293

Ещё больше материалов после регистрации

Видео 0
В этом разделе еще нет дополнительных материалов, будьте первыми.
Аудио 0
В этом разделе еще нет дополнительных материалов, будьте первыми.
Документы 0
В этом разделе еще нет дополнительных материалов, будьте первыми.
Добавить материал
Большая медицинская библиотека
Патологическая анатомия. Атлас для стоматологов : Учебное пособие / М. В. Завьялова, С. В. Вторушин, И. Л. Пурлик и др. - Томск : Издательство СибГМУ, 2024. - 297 c. - Текст : электронный // ЭБС "Букап" : [сайт]. - URL : https://www.books-up.ru/ru/book/patologicheskaya-anatomiya-atlas-dlya-stomatologov-18660515/ (дата обращения: 28.04.2026). - Режим доступа : по подписке.
Подписка
6 месяцев
12 месяцев
Читать отрывок

Атлас разработан по дисциплине «Патологическая анатомия» в соответствии с Федеральным государственным образовательным стандартом высшего профессионального образования для студентов, обучающихся по основным образовательным программам высшего образования - программам специалитета по специальности «Стоматология».

В атласе представлены авторские снимки макро- и микропрепаратов, демонстрирующих типовые проявления патологических процессов. В цветных иллюстрациях в описании макро- и микропрепаратов сделан акцент на наиболее важных макроскопических и гистологических изменениях, позволяющих диагностировать и дифференцировать состояния, отклоняющиеся от нормы, в том числе с использованием различных гистологических окрасок. Атлас помогает выделить главные аспекты изучаемых патологических процессов, организовать и конкретизировать учебный процесс.

свернуть

Дополнительные материалы

Ещё больше материалов после регистрации

В этом разделе еще нет дополнительных материалов, будьте первыми.
В этом разделе еще нет дополнительных материалов, будьте первыми.
В этом разделе еще нет дополнительных материалов, будьте первыми.
Добавить материал

Похожие книги