Размер шрифта:
Цвета сайта:
Изображения:
 

Cours de conférences sur l'anatomie pathologique des maladies de la région maxillo–faciale

Большая медицинская библиотека
Читать отрывок
Подписка
Читать отрывок
Казанцева Г. П. Cours de conférences sur l'anatomie pathologique des maladies de la région maxillo–faciale = Курс лекций по патологической анатомии заболеваний челюстно–лицевой области Учебное пособие для иностранных студентов, обучающихся по специальности Стоматология : guide d’étude pour les étudiants étrangers en Médecine Dentaire (langue française d'enseignement) / Г. П. Казанцева, Т. М. Черданцева, М. С. Некрасова. - Рязань : РязГМУ, 2025. - 74 c. - Текст : электронный // ЭБС "Букап" : [сайт]. - URL : https://www.books-up.ru/ru/book/cours-de-conferences-sur-lanatomie-pathologique-des-maladies-de-la-region-maxillofaciale-19088805/ (дата обращения: 12.05.2026). - Режим доступа : по подписке.
Аннотация

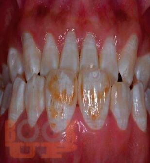
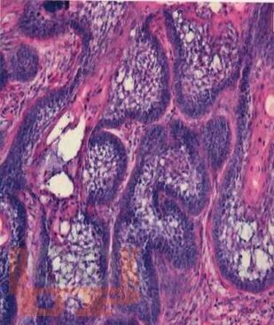
Ce manuel a été élaboré conformément au programme de travail «Anatomie pathologique» et est destiné au développement des compétences professionnelles des étudiants de 2e année de la Faculté de médecine dentaire dans la discipline «Anatomie pathologique» dans la spécialité 31.05.03 Dentisterie. Le manuel comprend plusieurs chapitres, dont une description de la structure normale et de l'anatomie pathologique des maladies des organes dentaires en français. Le manuel est équipé d'un grand nombre de photographies, le matériel est présenté à un niveau théorique moderne.

Данное учебное пособие разработано в соответствии с рабочей программой «Патологическая анатомия» и предназначено для освоения профессиональных компетенций студентами 2 курса стоматологического факультета по дисциплине «Патологическая анатомия» по специальности 31.05.03 Стоматология. Учебное пособие состоит из нескольких глав, включая описание нормального строения и патологической анатомии заболеваний органов зубочелюстной области на французском языке.
Пособие оснащено большим количеством фотографий, материал излагается на современном теоретическом уровне.

свернуть
Дополнительные материалы
Изображения 61

Ещё больше материалов после регистрации

Видео 0
В этом разделе еще нет дополнительных материалов, будьте первыми.
Аудио 0
В этом разделе еще нет дополнительных материалов, будьте первыми.
Документы 0
В этом разделе еще нет дополнительных материалов, будьте первыми.
Добавить материал
Большая медицинская библиотека
Казанцева Г. П. Cours de conférences sur l'anatomie pathologique des maladies de la région maxillo–faciale = Курс лекций по патологической анатомии заболеваний челюстно–лицевой области Учебное пособие для иностранных студентов, обучающихся по специальности Стоматология : guide d’étude pour les étudiants étrangers en Médecine Dentaire (langue française d'enseignement) / Г. П. Казанцева, Т. М. Черданцева, М. С. Некрасова. - Рязань : РязГМУ, 2025. - 74 c. - Текст : электронный // ЭБС "Букап" : [сайт]. - URL : https://www.books-up.ru/ru/book/cours-de-conferences-sur-lanatomie-pathologique-des-maladies-de-la-region-maxillofaciale-19088805/ (дата обращения: 12.05.2026). - Режим доступа : по подписке.
Подписка
6 месяцев
12 месяцев
Читать отрывок

Ce manuel a été élaboré conformément au programme de travail «Anatomie pathologique» et est destiné au développement des compétences professionnelles des étudiants de 2e année de la Faculté de médecine dentaire dans la discipline «Anatomie pathologique» dans la spécialité 31.05.03 Dentisterie. Le manuel comprend plusieurs chapitres, dont une description de la structure normale et de l'anatomie pathologique des maladies des organes dentaires en français. Le manuel est équipé d'un grand nombre de photographies, le matériel est présenté à un niveau théorique moderne.

Данное учебное пособие разработано в соответствии с рабочей программой «Патологическая анатомия» и предназначено для освоения профессиональных компетенций студентами 2 курса стоматологического факультета по дисциплине «Патологическая анатомия» по специальности 31.05.03 Стоматология. Учебное пособие состоит из нескольких глав, включая описание нормального строения и патологической анатомии заболеваний органов зубочелюстной области на французском языке.
Пособие оснащено большим количеством фотографий, материал излагается на современном теоретическом уровне.

свернуть

Дополнительные материалы

Ещё больше материалов после регистрации

В этом разделе еще нет дополнительных материалов, будьте первыми.
В этом разделе еще нет дополнительных материалов, будьте первыми.
В этом разделе еще нет дополнительных материалов, будьте первыми.
Добавить материал

Похожие книги