Размер шрифта:
Цвета сайта:
Изображения:
 

Современная тактика диагностики и лечения острого гнойного пиелонефрита

3

Читать отрывок
Подписка
Читать отрывок
Курбатов Д. Г. Современная тактика диагностики и лечения острого гнойного пиелонефрита / Д. Г. Курбатов, С. А. Дубский, А. А. Дмитращенко. - М. : Медпрактика-М, 2013. - 144 c. - ISBN 9785988033011. - Текст : электронный // ЭБС "Букап" : [сайт]. - URL : https://www.books-up.ru/ru/book/sovremennaya-taktika-diagnostiki-i-lecheniya-ostrogo-gnojnogo-pielonefrita-3671030/ (дата обращения: 18.05.2026). - Режим доступа : по подписке.
Аннотация

Настоящая монография предназначена для врачей – лучевых диагностов, урологов, хирургов, терапевтов, семейных врачей, а также студентов медицинских вузов, и посвящена применению лучевых методов исследования в диагностике различных форм острого гнойного пиелонефрита.
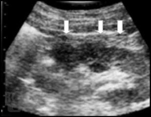
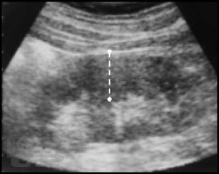
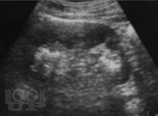
В монографии детально показана разнообразная лучевая семиотика при апостематозном пиелонефрите, карбункуле и абсцессе почки, а также представлены различные современные методы лечения с динамикой воспалительных изменений в паренхиме почки.

свернуть
Дополнительные материалы
Изображения 108

Ещё больше материалов после регистрации

Видео 0
В этом разделе еще нет дополнительных материалов, будьте первыми.
Аудио 0
В этом разделе еще нет дополнительных материалов, будьте первыми.
Документы 0
В этом разделе еще нет дополнительных материалов, будьте первыми.
Добавить материал
Курбатов Д. Г. Современная тактика диагностики и лечения острого гнойного пиелонефрита / Д. Г. Курбатов, С. А. Дубский, А. А. Дмитращенко. - М. : Медпрактика-М, 2013. - 144 c. - ISBN 9785988033011. - Текст : электронный // ЭБС "Букап" : [сайт]. - URL : https://www.books-up.ru/ru/book/sovremennaya-taktika-diagnostiki-i-lecheniya-ostrogo-gnojnogo-pielonefrita-3671030/ (дата обращения: 18.05.2026). - Режим доступа : по подписке.
Подписка
6 месяцев
12 месяцев
Читать отрывок

Настоящая монография предназначена для врачей – лучевых диагностов, урологов, хирургов, терапевтов, семейных врачей, а также студентов медицинских вузов, и посвящена применению лучевых методов исследования в диагностике различных форм острого гнойного пиелонефрита.
В монографии детально показана разнообразная лучевая семиотика при апостематозном пиелонефрите, карбункуле и абсцессе почки, а также представлены различные современные методы лечения с динамикой воспалительных изменений в паренхиме почки.

свернуть

Дополнительные материалы

Ещё больше материалов после регистрации

В этом разделе еще нет дополнительных материалов, будьте первыми.
В этом разделе еще нет дополнительных материалов, будьте первыми.
В этом разделе еще нет дополнительных материалов, будьте первыми.
Добавить материал

Похожие книги