Размер шрифта:
Цвета сайта:
Изображения:
 

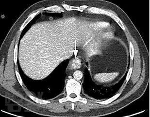
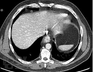
Рак пищевода

Большая медицинская библиотека
Читать отрывок
Подписка
Читать отрывок
Дроздов Е. С. Рак пищевода : учебное пособие / Е. С. Дроздов, Е. Б. Топольницкий, А. П. Кошель. - Томск : Издательство СибГМУ, 2021. - 88 c. - Текст : электронный // ЭБС "Букап" : [сайт]. - URL : https://www.books-up.ru/ru/book/rak-picshevoda-13620766/ (дата обращения: 28.04.2026). - Режим доступа : по подписке.
Аннотация

В учебном пособии представлена современная информация об эпидемиологии, классификации, клинике, диагностике, принципах и результатах лечения рака желудка. Особое внимание уделено перспективным методам первичной и вторичной диагностики рака пищевода.
В пособии даны перечень вопросов для самоконтроля и ситуационные задачи. Предложенная структура издания помогает выделить главные аспекты патологии, организовать и конкретизировать учебный процесс.
Учебное пособие рассчитано на студентов старших курсов, ординаторов по специальности хирургия, онкология, торакальная хирургия.

свернуть
Дополнительные материалы
Изображения 12

Ещё больше материалов после регистрации

Видео 0
В этом разделе еще нет дополнительных материалов, будьте первыми.
Аудио 0
В этом разделе еще нет дополнительных материалов, будьте первыми.
Документы 0
В этом разделе еще нет дополнительных материалов, будьте первыми.
Добавить материал
Большая медицинская библиотека
Дроздов Е. С. Рак пищевода : учебное пособие / Е. С. Дроздов, Е. Б. Топольницкий, А. П. Кошель. - Томск : Издательство СибГМУ, 2021. - 88 c. - Текст : электронный // ЭБС "Букап" : [сайт]. - URL : https://www.books-up.ru/ru/book/rak-picshevoda-13620766/ (дата обращения: 28.04.2026). - Режим доступа : по подписке.
Подписка
6 месяцев
12 месяцев
Читать отрывок

В учебном пособии представлена современная информация об эпидемиологии, классификации, клинике, диагностике, принципах и результатах лечения рака желудка. Особое внимание уделено перспективным методам первичной и вторичной диагностики рака пищевода.
В пособии даны перечень вопросов для самоконтроля и ситуационные задачи. Предложенная структура издания помогает выделить главные аспекты патологии, организовать и конкретизировать учебный процесс.
Учебное пособие рассчитано на студентов старших курсов, ординаторов по специальности хирургия, онкология, торакальная хирургия.

свернуть

Дополнительные материалы

Ещё больше материалов после регистрации

В этом разделе еще нет дополнительных материалов, будьте первыми.
В этом разделе еще нет дополнительных материалов, будьте первыми.
В этом разделе еще нет дополнительных материалов, будьте первыми.
Добавить материал

Похожие книги