Размер шрифта:
Цвета сайта:
Изображения:
 

Сцинтиграфия с 199Tl-хлоридом в индикации и дифференциальной диагностике воспалительных и опухолевых процессов

Большая медицинская библиотека
Читать отрывок
Подписка
Читать отрывок
Куражов А. П. Сцинтиграфия с 199Tl-хлоридом в индикации и дифференциальной диагностике воспалительных и опухолевых процессов / А. П. Куражов, В. Д. Завадовская, М. А. Зоркальцев. - Томск : Издательство СибГМУ, 2016. - 229 c. - ISBN 9785985911220. - Текст : электронный // ЭБС "Букап" : [сайт]. - URL : https://www.books-up.ru/ru/book/scintigrafiya-s-199tl-hloridom-v-indikacii-i-differencialnoj-diagnostike-vospalitelnyh-i-opuholevyh-processov-4989662/ (дата обращения: 14.05.2026). - Режим доступа : по подписке.
Аннотация

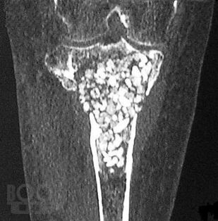
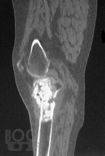
Одной из особенностей развития медицинской визуализации на современном этапе является совершенствование методик радионуклидной диагностики различных патологических процессов, в том числе опухолевых и воспалительных.
В настоящей монографии в сравнительном аспекте рассматриваются диагностические и дифференциально-диагностические возможности сцинтиграфии с неспецифическим туморотропным радиофармацевтическим препаратом и индикатором воспалительных процессов 199Tl-хлоридом. Авторами показана высокая эффективность сцинтиграфии с 199Tl-хлоридом в неспецифической индикации и дифференцильной диагностике опухолевых и воспалительных процессов опорно-двигательного аппарата, органов грудной клетки и прочих локализаций, приводятся диагностические и дифференциально-диагностические критерии этих процессов.
Монография предназначена для врачей-радиологов, врачей-онкологов, а также для лучевых диагностов различных специальностей, врачей-клиницистов и всех интересующихся радионуклидной  диагностикой опухолевых и воспалительных процессов.

свернуть
Дополнительные материалы
Изображения 270

Ещё больше материалов после регистрации

Видео 0
В этом разделе еще нет дополнительных материалов, будьте первыми.
Аудио 0
В этом разделе еще нет дополнительных материалов, будьте первыми.
Документы 0
В этом разделе еще нет дополнительных материалов, будьте первыми.
Добавить материал
Большая медицинская библиотека
Куражов А. П. Сцинтиграфия с 199Tl-хлоридом в индикации и дифференциальной диагностике воспалительных и опухолевых процессов / А. П. Куражов, В. Д. Завадовская, М. А. Зоркальцев. - Томск : Издательство СибГМУ, 2016. - 229 c. - ISBN 9785985911220. - Текст : электронный // ЭБС "Букап" : [сайт]. - URL : https://www.books-up.ru/ru/book/scintigrafiya-s-199tl-hloridom-v-indikacii-i-differencialnoj-diagnostike-vospalitelnyh-i-opuholevyh-processov-4989662/ (дата обращения: 14.05.2026). - Режим доступа : по подписке.
Подписка
6 месяцев
12 месяцев
Читать отрывок

Одной из особенностей развития медицинской визуализации на современном этапе является совершенствование методик радионуклидной диагностики различных патологических процессов, в том числе опухолевых и воспалительных.
В настоящей монографии в сравнительном аспекте рассматриваются диагностические и дифференциально-диагностические возможности сцинтиграфии с неспецифическим туморотропным радиофармацевтическим препаратом и индикатором воспалительных процессов 199Tl-хлоридом. Авторами показана высокая эффективность сцинтиграфии с 199Tl-хлоридом в неспецифической индикации и дифференцильной диагностике опухолевых и воспалительных процессов опорно-двигательного аппарата, органов грудной клетки и прочих локализаций, приводятся диагностические и дифференциально-диагностические критерии этих процессов.
Монография предназначена для врачей-радиологов, врачей-онкологов, а также для лучевых диагностов различных специальностей, врачей-клиницистов и всех интересующихся радионуклидной  диагностикой опухолевых и воспалительных процессов.

свернуть

Дополнительные материалы

Ещё больше материалов после регистрации

В этом разделе еще нет дополнительных материалов, будьте первыми.
В этом разделе еще нет дополнительных материалов, будьте первыми.
В этом разделе еще нет дополнительных материалов, будьте первыми.
Добавить материал

Похожие книги

Одной из особенностей развития медицинской визуализации на современном этапе является совершенствование методик радионуклидной диагностики различных патологических процессов, в том числе опухолевых и воспалительных. В настоящей монографии в сравнительном аспекте рассматриваются диагностические и дифференциально-диагностические возможности сцинтиграфии с неспецифическим туморотропным радиофармацевтическим препаратом и индикатором воспалительных процессов 199Tl-хлоридом. Авторами показана высокая эффективность сцинтиграфии с 199Tl-хлоридом в неспецифической индикации и дифференцильной диагностике опухолевых и воспалительных процессов опорно-двигательного аппарата, органов грудной клетки и прочих локализаций, приводятся диагностические и дифференциально диагностические критерии этих процессов. Монография предназначена для врачей-радиологов, врачей-онкологов, а также для лучевых диагностов различных специальностей, врачей-клиницистов.