Размер шрифта:
Цвета сайта:
Изображения:
 

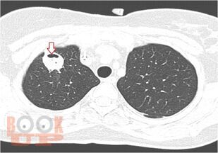
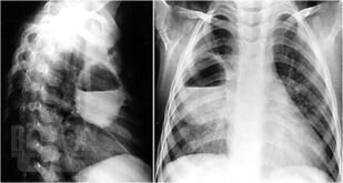
Нагноительные заболевания легких и плевры

Большая медицинская библиотека
Read part of it
Подписка
Read part of it
Нагноительные заболевания легких и плевры : учебное пособие / М. И. Михайличенко, С. Л. Лобанов, О. Г. Коновалова и др. - Чита : Издательство ЧГМА, 2021. - 40 c. - Текст : электронный // ЭБС "Букап" : [сайт]. - URL : https://www.books-up.ru/en/book/nagnoitelnye-zabolevaniya-legkih-i-plevry-13026186/ (дата обращения: 10.05.2026). - Режим доступа : по подписке.
Аннотация

В учебном пособии изложены основные варианты нагноительных заболеваний легких и плевры. Дана характеристика, включая этапы развития хирургии нагноительных заболеваний легких и плевры. Приведена классификация, этиология, патогенез каждого патологического процесса. Описаны современные методы диагностики и принципы хирургического лечения. Пособие предназначено для самостоятельной работы студентов лечебного и педиатрического факультета.

свернуть
Дополнительные материалы
Видео 0
В этом разделе еще нет дополнительных материалов, будьте первыми.
Аудио 0
В этом разделе еще нет дополнительных материалов, будьте первыми.
Документы 0
В этом разделе еще нет дополнительных материалов, будьте первыми.
Добавить материал
Большая медицинская библиотека
Нагноительные заболевания легких и плевры : учебное пособие / М. И. Михайличенко, С. Л. Лобанов, О. Г. Коновалова и др. - Чита : Издательство ЧГМА, 2021. - 40 c. - Текст : электронный // ЭБС "Букап" : [сайт]. - URL : https://www.books-up.ru/en/book/nagnoitelnye-zabolevaniya-legkih-i-plevry-13026186/ (дата обращения: 10.05.2026). - Режим доступа : по подписке.
Подписка
12 месяцев
Read part of it

В учебном пособии изложены основные варианты нагноительных заболеваний легких и плевры. Дана характеристика, включая этапы развития хирургии нагноительных заболеваний легких и плевры. Приведена классификация, этиология, патогенез каждого патологического процесса. Описаны современные методы диагностики и принципы хирургического лечения. Пособие предназначено для самостоятельной работы студентов лечебного и педиатрического факультета.

свернуть

Дополнительные материалы

В этом разделе еще нет дополнительных материалов, будьте первыми.
В этом разделе еще нет дополнительных материалов, будьте первыми.
В этом разделе еще нет дополнительных материалов, будьте первыми.
Добавить материал

Похожие книги