Размер шрифта:
Цвета сайта:
Изображения:
 

Спинальная неврология

Читать отрывок
Подписка
Читать отрывок
Спинальная неврология : учебное пособие / Г. О. Андреева, С. Н. Базилевич, Г. Н. Бисага и др. - СПб. : СпецЛит, 2017. - 430 c. - ISBN 9785299008869. - Текст : электронный // ЭБС "Букап" : [сайт]. - URL : https://www.books-up.ru/ru/book/spinalnaya-nevrologiya-6548796/ (дата обращения: 03.05.2026). - Режим доступа : по подписке.
Аннотация

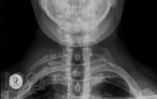
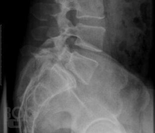
В учебном пособии, обобщающем многолетний педагогический опыт профессорско-преподавательского состава кафедры нервных болезней Военно-медицинской академии им. С. М. Кирова, с учетом данных современной литературы представлены сведения об анатомии, физиологии, заболеваниях и травмах спинного мозга. Отдельно рассмотрены вопросы эмбриогенеза, регенерации и аномалий развития спинного мозга. Пристальное внимание уделено топической диагностике спинальных поражений при сосудистых, инфекционных, демиелинизирующих, нейродегенеративных и системных заболеваниях. Специальные главы посвящены повреждениям спинного мозга при травмах, опухолях, воздействии экстремальных факторов, радиации и интоксикациях, а также современным методам исследования спинальной патологии и ее реабилитации. Издание иллюстрировано таблицами, схемами, рисунками и фотографиями, что облегчает восприятие и улучшает запоминание материала.
Учебное пособие предназначено для курсантов и студентов медицинских вузов, адъюнктов, аспирантов, врачей — специалистов в области неврологии, нейрохирургии, педиатрии, реабилитологии, нейрофизиологии, а также врачей общей практики и медицины катастроф.
Рассмотрено на заседании кафедры и рекомендовано к печати в качестве учебного пособия.

свернуть
Дополнительные материалы
Изображения 64

Ещё больше материалов после регистрации

Видео 0
В этом разделе еще нет дополнительных материалов, будьте первыми.
Аудио 0
В этом разделе еще нет дополнительных материалов, будьте первыми.
Документы 0
В этом разделе еще нет дополнительных материалов, будьте первыми.
Добавить материал
Спинальная неврология : учебное пособие / Г. О. Андреева, С. Н. Базилевич, Г. Н. Бисага и др. - СПб. : СпецЛит, 2017. - 430 c. - ISBN 9785299008869. - Текст : электронный // ЭБС "Букап" : [сайт]. - URL : https://www.books-up.ru/ru/book/spinalnaya-nevrologiya-6548796/ (дата обращения: 03.05.2026). - Режим доступа : по подписке.
Подписка
6 месяцев
12 месяцев
Читать отрывок

В учебном пособии, обобщающем многолетний педагогический опыт профессорско-преподавательского состава кафедры нервных болезней Военно-медицинской академии им. С. М. Кирова, с учетом данных современной литературы представлены сведения об анатомии, физиологии, заболеваниях и травмах спинного мозга. Отдельно рассмотрены вопросы эмбриогенеза, регенерации и аномалий развития спинного мозга. Пристальное внимание уделено топической диагностике спинальных поражений при сосудистых, инфекционных, демиелинизирующих, нейродегенеративных и системных заболеваниях. Специальные главы посвящены повреждениям спинного мозга при травмах, опухолях, воздействии экстремальных факторов, радиации и интоксикациях, а также современным методам исследования спинальной патологии и ее реабилитации. Издание иллюстрировано таблицами, схемами, рисунками и фотографиями, что облегчает восприятие и улучшает запоминание материала.
Учебное пособие предназначено для курсантов и студентов медицинских вузов, адъюнктов, аспирантов, врачей — специалистов в области неврологии, нейрохирургии, педиатрии, реабилитологии, нейрофизиологии, а также врачей общей практики и медицины катастроф.
Рассмотрено на заседании кафедры и рекомендовано к печати в качестве учебного пособия.

свернуть

Дополнительные материалы

Ещё больше материалов после регистрации

В этом разделе еще нет дополнительных материалов, будьте первыми.
В этом разделе еще нет дополнительных материалов, будьте первыми.
В этом разделе еще нет дополнительных материалов, будьте первыми.
Добавить материал

Похожие книги