Размер шрифта:
Цвета сайта:
Изображения:
 

Pitfalls in the Diagnosis of Neurological Disorders

Читать отрывок
Подписка
Читать отрывок
Chakravarty A. Pitfalls in the Diagnosis of Neurological Disorders / A. Chakravarty. - New Delhi : Jaypee Brothers Medical Publishers, 2022. - 716 c. - ISBN 9789354656668. - Текст : электронный // ЭБС "Букап" : [сайт]. - URL : https://www.books-up.ru/ru/book/pitfalls-in-the-diagnosis-of-neurological-disorders-18337476/ (дата обращения: 30.05.2026). - Режим доступа : по подписке.
Аннотация

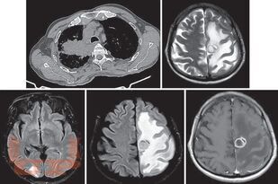
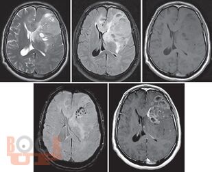
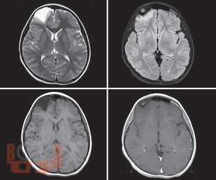
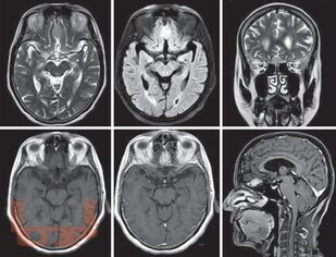
In the book, several clinical cases have been discussed highlighting issues pertaining to arriving at the correct diagnosis and avoiding pitfalls. A separate section had been devoted discussing diagnostic challenges faced by neurologists in critical care units with the help of 15 authentic cases by critical care neurologists from the University of Texas Southwestern Medical Center, USA. Many chapters have been followed by Editorial notes and Appendices on some key issues relating to diagnostic pathways, again at times with the help of illustrative case studies. First one of its kind to be published from India. Access to videos has been given with the book.

свернуть
Дополнительные материалы
Изображения 6

Ещё больше материалов после регистрации

Видео 0
В этом разделе еще нет дополнительных материалов, будьте первыми.
Аудио 0
В этом разделе еще нет дополнительных материалов, будьте первыми.
Документы 0
В этом разделе еще нет дополнительных материалов, будьте первыми.
Добавить материал
Chakravarty A. Pitfalls in the Diagnosis of Neurological Disorders / A. Chakravarty. - New Delhi : Jaypee Brothers Medical Publishers, 2022. - 716 c. - ISBN 9789354656668. - Текст : электронный // ЭБС "Букап" : [сайт]. - URL : https://www.books-up.ru/ru/book/pitfalls-in-the-diagnosis-of-neurological-disorders-18337476/ (дата обращения: 30.05.2026). - Режим доступа : по подписке.
Подписка
12 месяцев
Читать отрывок

In the book, several clinical cases have been discussed highlighting issues pertaining to arriving at the correct diagnosis and avoiding pitfalls. A separate section had been devoted discussing diagnostic challenges faced by neurologists in critical care units with the help of 15 authentic cases by critical care neurologists from the University of Texas Southwestern Medical Center, USA. Many chapters have been followed by Editorial notes and Appendices on some key issues relating to diagnostic pathways, again at times with the help of illustrative case studies. First one of its kind to be published from India. Access to videos has been given with the book.

свернуть

Дополнительные материалы

Ещё больше материалов после регистрации

В этом разделе еще нет дополнительных материалов, будьте первыми.
В этом разделе еще нет дополнительных материалов, будьте первыми.
В этом разделе еще нет дополнительных материалов, будьте первыми.
Добавить материал

Похожие книги