Размер шрифта:
Цвета сайта:
Изображения:
 

Ситуационные задания по травматологии и ортопедии

Большая медицинская библиотека
Читать отрывок
Подписка
Читать отрывок
Ситуационные задания по травматологии и ортопедии : Практикум / А. М. Мироманов, О. Б. Миронова, А. Н. Старосельников и др. - Чита : Издательство ЧГМА, 2022. - 92 c. - Текст : электронный // ЭБС "Букап" : [сайт]. - URL : https://www.books-up.ru/ru/book/situacionnye-zadaniya-po-travmatologii-i-ortopedii-15949794/ (дата обращения: 03.05.2026). - Режим доступа : по подписке.
Аннотация

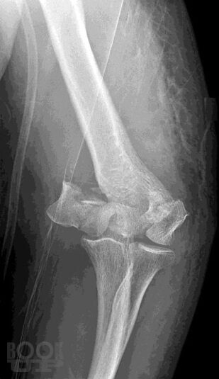
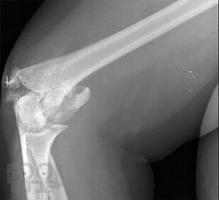
Учебно-практическое издание содержит ситуационные задания по наиболее распространенным и сложным разделам патологии опорно-двигательной системы (повреждения и заболевания верхних и нижних конечностей, позвоночника, повреждения и заболевания детского возраста и остеоонкология). Материал ситуационных заданий основывается на практическом опыте мирового сообщества травматологов-ортопедов. Для удобства восприятия материала эталоны ответов на ситуационные задания расположены в конце каждого задания. Практикум предназначен для ординаторов, аспирантов и врачей травматологов-ортопедов, обучающихся по специальности «Травматология и ортопедия».

свернуть
Дополнительные материалы
Изображения 257

Ещё больше материалов после регистрации

Видео 0
В этом разделе еще нет дополнительных материалов, будьте первыми.
Аудио 0
В этом разделе еще нет дополнительных материалов, будьте первыми.
Документы 0
В этом разделе еще нет дополнительных материалов, будьте первыми.
Добавить материал
Большая медицинская библиотека
Ситуационные задания по травматологии и ортопедии : Практикум / А. М. Мироманов, О. Б. Миронова, А. Н. Старосельников и др. - Чита : Издательство ЧГМА, 2022. - 92 c. - Текст : электронный // ЭБС "Букап" : [сайт]. - URL : https://www.books-up.ru/ru/book/situacionnye-zadaniya-po-travmatologii-i-ortopedii-15949794/ (дата обращения: 03.05.2026). - Режим доступа : по подписке.
Подписка
6 месяцев
12 месяцев
Читать отрывок

Учебно-практическое издание содержит ситуационные задания по наиболее распространенным и сложным разделам патологии опорно-двигательной системы (повреждения и заболевания верхних и нижних конечностей, позвоночника, повреждения и заболевания детского возраста и остеоонкология). Материал ситуационных заданий основывается на практическом опыте мирового сообщества травматологов-ортопедов. Для удобства восприятия материала эталоны ответов на ситуационные задания расположены в конце каждого задания. Практикум предназначен для ординаторов, аспирантов и врачей травматологов-ортопедов, обучающихся по специальности «Травматология и ортопедия».

свернуть

Дополнительные материалы

Ещё больше материалов после регистрации

В этом разделе еще нет дополнительных материалов, будьте первыми.
В этом разделе еще нет дополнительных материалов, будьте первыми.
В этом разделе еще нет дополнительных материалов, будьте первыми.
Добавить материал

Похожие книги