Размер шрифта:
Цвета сайта:
Изображения:
 

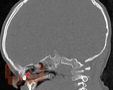
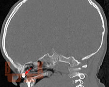
Некоторые неотложные состояния в оториноларингологии

Большая медицинская библиотека
Читать отрывок
Подписка
Читать отрывок
Маниковская Т. М. Некоторые неотложные состояния в оториноларингологии : Методические рекомендации / Т. М. Маниковская, Е. В. Егорова, Ю. К. Шаповалов. - Чита : Издательство ЧГМА, 2022. - 59 c. - Текст : электронный // ЭБС "Букап" : [сайт]. - URL : https://www.books-up.ru/ru/book/nekotorye-neotlozhnye-sostoyaniya-v-otorinolaringologii-16309826/ (дата обращения: 27.04.2026). - Режим доступа : по подписке.
Аннотация

Методические рекомендации позволяют студентам, проходящим цикл практических занятий по оториноларингологии, приобрести знания по оказанию неотложной помощи в оториноларингологии.

Методическое пособие предназначено для студентов, обучающихся по специальностям Педиатрия, Лечебное дело и Стоматология, в котором представлены различные виды часто встречающейся острой патологии со стороны ЛОР органов, рассмотрены методы ее диагностики и различные способы оказания неотложной помощи больным.

свернуть
Дополнительные материалы
Изображения 9

Ещё больше материалов после регистрации

Видео 0
В этом разделе еще нет дополнительных материалов, будьте первыми.
Аудио 0
В этом разделе еще нет дополнительных материалов, будьте первыми.
Документы 0
В этом разделе еще нет дополнительных материалов, будьте первыми.
Добавить материал
Большая медицинская библиотека
Маниковская Т. М. Некоторые неотложные состояния в оториноларингологии : Методические рекомендации / Т. М. Маниковская, Е. В. Егорова, Ю. К. Шаповалов. - Чита : Издательство ЧГМА, 2022. - 59 c. - Текст : электронный // ЭБС "Букап" : [сайт]. - URL : https://www.books-up.ru/ru/book/nekotorye-neotlozhnye-sostoyaniya-v-otorinolaringologii-16309826/ (дата обращения: 27.04.2026). - Режим доступа : по подписке.
Подписка
6 месяцев
12 месяцев
Читать отрывок

Методические рекомендации позволяют студентам, проходящим цикл практических занятий по оториноларингологии, приобрести знания по оказанию неотложной помощи в оториноларингологии.

Методическое пособие предназначено для студентов, обучающихся по специальностям Педиатрия, Лечебное дело и Стоматология, в котором представлены различные виды часто встречающейся острой патологии со стороны ЛОР органов, рассмотрены методы ее диагностики и различные способы оказания неотложной помощи больным.

свернуть

Дополнительные материалы

Ещё больше материалов после регистрации

В этом разделе еще нет дополнительных материалов, будьте первыми.
В этом разделе еще нет дополнительных материалов, будьте первыми.
В этом разделе еще нет дополнительных материалов, будьте первыми.
Добавить материал

Похожие книги