Размер шрифта:
Цвета сайта:
Изображения:
 

Саркоидоз

Большая медицинская библиотека
Читать отрывок
Подписка
Читать отрывок
Черкашина И. И. Саркоидоз / И. И. Черкашина, Ю. И. Гринштейн, В. В. Шабалин. - Красноярск : КрасГМУ, 2020. - 157 c. - Текст : электронный // ЭБС "Букап" : [сайт]. - URL : https://www.books-up.ru/ru/book/sarkoidoz-11646214/ (дата обращения: 25.05.2026). - Режим доступа : по подписке.
Аннотация

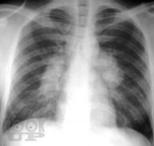
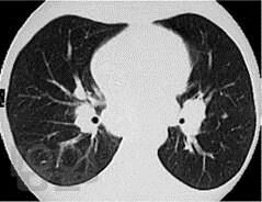
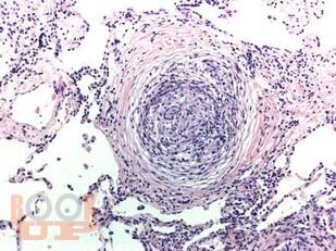
Учебное пособие предназначено для ординаторов, обучающихся по специальности 31.08.49 Терапия и слушателей дополнительного профессионального образования. В настоящем учебном пособии изложены современные представления по распространенности, этиологии, патогенезу, клинике, диагностике, дифференциальной диагностике и лечению саркоидоза органов дыхания, кожных покровов, почек, кардиального и костно-мышечного саркоидоза. Имеются тестовые задания и ситуационные задачи для самоконтроля знаний, издание иллюстрировано рисунками, схемами и таблицами.

свернуть
Дополнительные материалы
Изображения 53

Ещё больше материалов после регистрации

Видео 0
В этом разделе еще нет дополнительных материалов, будьте первыми.
Аудио 0
В этом разделе еще нет дополнительных материалов, будьте первыми.
Документы 0
В этом разделе еще нет дополнительных материалов, будьте первыми.
Добавить материал
Большая медицинская библиотека
Черкашина И. И. Саркоидоз / И. И. Черкашина, Ю. И. Гринштейн, В. В. Шабалин. - Красноярск : КрасГМУ, 2020. - 157 c. - Текст : электронный // ЭБС "Букап" : [сайт]. - URL : https://www.books-up.ru/ru/book/sarkoidoz-11646214/ (дата обращения: 25.05.2026). - Режим доступа : по подписке.
Подписка
6 месяцев
12 месяцев
Читать отрывок

Учебное пособие предназначено для ординаторов, обучающихся по специальности 31.08.49 Терапия и слушателей дополнительного профессионального образования. В настоящем учебном пособии изложены современные представления по распространенности, этиологии, патогенезу, клинике, диагностике, дифференциальной диагностике и лечению саркоидоза органов дыхания, кожных покровов, почек, кардиального и костно-мышечного саркоидоза. Имеются тестовые задания и ситуационные задачи для самоконтроля знаний, издание иллюстрировано рисунками, схемами и таблицами.

свернуть

Дополнительные материалы

Ещё больше материалов после регистрации

В этом разделе еще нет дополнительных материалов, будьте первыми.
В этом разделе еще нет дополнительных материалов, будьте первыми.
В этом разделе еще нет дополнительных материалов, будьте первыми.
Добавить материал

Похожие книги