Размер шрифта:
Цвета сайта:
Изображения:
 

Руководство к практическим занятиям по цитологии и общей гистологии

Большая медицинская библиотека
Читать отрывок
Подписка
Читать отрывок
Руководство к практическим занятиям по цитологии и общей гистологии : Учебное пособие / В. В. Иванова, А. Н. Дзюман, О. Н. Серебрякова и др. - Томск ; Томск : Издательство СибГМУ, 2024. - 112 c. - Текст : электронный // ЭБС "Букап" : [сайт]. - URL : https://www.books-up.ru/ru/book/rukovodstvo-k-prakticheskim-zanyatiyam-po-citologii-i-obcshej-gistologii-17358668/ (дата обращения: 17.05.2026). - Режим доступа : по подписке.
Аннотация

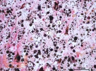
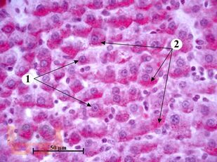
Руководство к практическим занятиям по цитологии и общей гистологии состоит из оригинальных цветных фотографий, каждая из которых сопровождается описанием и указанием учебных элементов. Описание фотографий соответствует принятой в 2009 г. Международной терминологии по гистологии и цитологии. Каждый раздел завершается перечнем вопросов, которые позволяют осуществлять самоконтроль усвоения изученного материала. Разделы руководства структурированы в соответствии с рабочими программами дисциплин «Общая морфология, цитология», утверждёнными в СибГМУ.

Издание предназначено для студентов медико-биологического факультета, обучающихся по специальностям 30.05.01 - Медицинская биохимия, 30.05.02 - Медицинская биофизика, 30.05.03 - Медицинская кибернетика, 06.03.01 - Биология.

свернуть
Дополнительные материалы
Изображения 78

Ещё больше материалов после регистрации

Видео 0
В этом разделе еще нет дополнительных материалов, будьте первыми.
Аудио 0
В этом разделе еще нет дополнительных материалов, будьте первыми.
Документы 0
В этом разделе еще нет дополнительных материалов, будьте первыми.
Добавить материал
Большая медицинская библиотека
Руководство к практическим занятиям по цитологии и общей гистологии : Учебное пособие / В. В. Иванова, А. Н. Дзюман, О. Н. Серебрякова и др. - Томск ; Томск : Издательство СибГМУ, 2024. - 112 c. - Текст : электронный // ЭБС "Букап" : [сайт]. - URL : https://www.books-up.ru/ru/book/rukovodstvo-k-prakticheskim-zanyatiyam-po-citologii-i-obcshej-gistologii-17358668/ (дата обращения: 17.05.2026). - Режим доступа : по подписке.
Подписка
6 месяцев
12 месяцев
Читать отрывок

Руководство к практическим занятиям по цитологии и общей гистологии состоит из оригинальных цветных фотографий, каждая из которых сопровождается описанием и указанием учебных элементов. Описание фотографий соответствует принятой в 2009 г. Международной терминологии по гистологии и цитологии. Каждый раздел завершается перечнем вопросов, которые позволяют осуществлять самоконтроль усвоения изученного материала. Разделы руководства структурированы в соответствии с рабочими программами дисциплин «Общая морфология, цитология», утверждёнными в СибГМУ.

Издание предназначено для студентов медико-биологического факультета, обучающихся по специальностям 30.05.01 - Медицинская биохимия, 30.05.02 - Медицинская биофизика, 30.05.03 - Медицинская кибернетика, 06.03.01 - Биология.

свернуть

Дополнительные материалы

Ещё больше материалов после регистрации

В этом разделе еще нет дополнительных материалов, будьте первыми.
В этом разделе еще нет дополнительных материалов, будьте первыми.
В этом разделе еще нет дополнительных материалов, будьте первыми.
Добавить материал

Похожие книги