Размер шрифта:
Цвета сайта:
Изображения:
 

Ревматические болезни

Читать отрывок
Подписка
Печатная версия
Читать отрывок
Раденска-Лоповок С. Г. Ревматические болезни : Гистологический атлас / С. Г. Раденска-Лоповок. - М. : Практическая медицина, 2025. - 240 c. - ISBN 9785988118596. - Текст : электронный // ЭБС "Букап" : [сайт]. - URL : https://www.books-up.ru/ru/book/revmaticheskie-bolezni-19592394/ (дата обращения: 14.05.2026). - Режим доступа : по подписке.
Визуализация морфологических изменений в сочетании с клиническими данными
Дифференциальная диагностика системных васкулитов
Охват редких и сложных для диагностики болезней
Аннотация

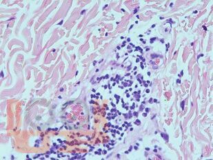
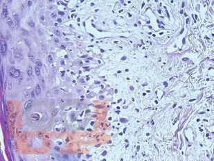
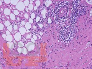
Атлас содержит авторские гистологические иллюстрации различных ревматических заболеваний, включая ревматоидный артрит, системную красную волчанку, системную склеродермию, а также редкие патологии: склеромикседему, IgG4‑ассоциированное заболевание, панникулиты, аутовоспалительный синдром, ассоциированный с адъювантами (ASIA‑синдром). Широко представлены системные васкулиты (болезнь Такаясу, гигантоклеточный артериит, узелковый полиартериит, гранулематоз с полиангиитом, эозинофильный гранулематоз с полиангиитом и др.). Гистологические препараты сопровождаются фотографиями пациентов.

Издание предназначено для ревматологов, патологоанатомов, стоматологов и научных работников.

свернуть
Дополнительные материалы
Изображения 353

Ещё больше материалов после регистрации

Видео 0
В этом разделе еще нет дополнительных материалов, будьте первыми.
Аудио 0
В этом разделе еще нет дополнительных материалов, будьте первыми.
Документы 0
В этом разделе еще нет дополнительных материалов, будьте первыми.
Добавить материал
Раденска-Лоповок С. Г. Ревматические болезни : Гистологический атлас / С. Г. Раденска-Лоповок. - М. : Практическая медицина, 2025. - 240 c. - ISBN 9785988118596. - Текст : электронный // ЭБС "Букап" : [сайт]. - URL : https://www.books-up.ru/ru/book/revmaticheskie-bolezni-19592394/ (дата обращения: 14.05.2026). - Режим доступа : по подписке.
Визуализация морфологических изменений в сочетании с клиническими данными
Дифференциальная диагностика системных васкулитов
Охват редких и сложных для диагностики болезней
Подписка
1 месяц
3 месяца
6 месяцев
12 месяцев
Печатная версия
Читать отрывок

Атлас содержит авторские гистологические иллюстрации различных ревматических заболеваний, включая ревматоидный артрит, системную красную волчанку, системную склеродермию, а также редкие патологии: склеромикседему, IgG4‑ассоциированное заболевание, панникулиты, аутовоспалительный синдром, ассоциированный с адъювантами (ASIA‑синдром). Широко представлены системные васкулиты (болезнь Такаясу, гигантоклеточный артериит, узелковый полиартериит, гранулематоз с полиангиитом, эозинофильный гранулематоз с полиангиитом и др.). Гистологические препараты сопровождаются фотографиями пациентов.

Издание предназначено для ревматологов, патологоанатомов, стоматологов и научных работников.

свернуть

Дополнительные материалы

Ещё больше материалов после регистрации

В этом разделе еще нет дополнительных материалов, будьте первыми.
В этом разделе еще нет дополнительных материалов, будьте первыми.
В этом разделе еще нет дополнительных материалов, будьте первыми.
Добавить материал

Похожие книги