Размер шрифта:
Цвета сайта:
Изображения:
 

Цветной атлас гистологии

4

Читать отрывок
Подписка
Читать отрывок
Цветной атлас гистологии : атлас / ред. В. П. Сапрыкин. - М. : Логосфера, 2008. - 480 c. - ISBN 9785986570129. - Текст : электронный // ЭБС "Букап" : [сайт]. - URL : https://www.books-up.ru/ru/book/cvetnoj-atlas-gistologii-4726567/ (дата обращения: 22.05.2026). - Режим доступа : по подписке.
"Атлас написан таким образом, чтобы представленный в нём материал был полным и легко запоминался студентами. Мы хотим помочь студенту освоить гистологию и не быть при этом «раздавленным» предметом"

Л. П. Гартнер, Дж. Л. Хайатт

Атлас можно использовать и в гистологической лаборатории в качестве дидактического и практического пособия при изготовлении препаратов
Каждая фотография снабжена указанием суммарного увеличения микроскопа и фотоаппарата
Аннотация

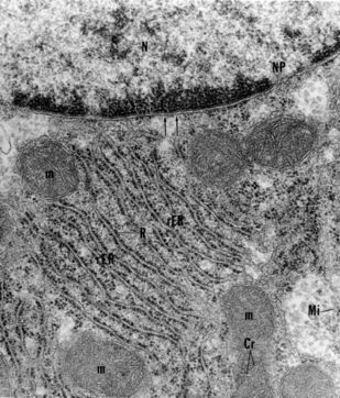
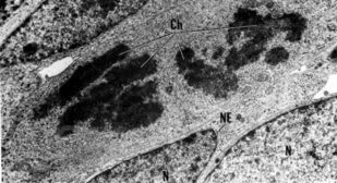
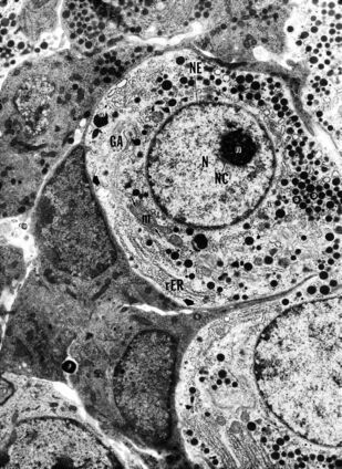
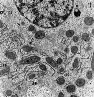
Предыдущие издания «Цветного атласа гистологии» помогали студентам изучать структуру и функцию тканей и органов на клеточном уровне. Четвёртое издание Атласа предоставляет медикам и биологам 390 микрофотографий, 39 электронограмм и 43 схем, раскрывающих гистологическое строение основных тканей и всех систем органов человека. Каждая глава атласа начинается с введения и включает цветные схематические иллюстрации, в которых кратко рассматриваются основные понятия, необходимые для понимания гистологии. Вставки «Клинические аспекты» по ходу изложения текста раскрывают связь гистологической информации с основами медицинской практики. Чтобы помочь студентам применять гистологические концепции на практике, в главы Атласа также включена информация о патологических аспектах.
«Цветной атлас гистологии», написанный чётко и кратко, широко известен сочетанием художественного оформления и клинического подхода к изложению материала. Студенты также оценят компактный размер книги, удобный для использования ее в лаборатории.

свернуть
Отзывы 1

Отзывы о книге

1
Кизима Сергей
31.07.2018
Чёткий, краткий и что важно, компактный атлас. Отлично!
Теги 114
1 462 2 414 Атлас 158 предисловие 102 3 102 Клетка 95 4 93 Гистология 92 Оглавление 86 гиста 49 Важно 44 начало 44 ткани 25 11 25 Тег 1 24 12 24 111 21 Нервная ткань 18 ядро 18 Схема 15 ткань 13 железы 12 Митоз 12 Эпителий 11 соединительная ткань 10 цитоплазма 9 Тэг 4 9 мышечная ткань 8 Комплекс Гольджи 7 аппарат гольджи 7 Третий 7 Тэг 7 6 ппп 5 хрящевые и костные ткани 5 ура 4 777 4 Рр 4 рисунки 4 Железа 3 мембраны 3 Митохондрий 3 мышечные ткани 3 ацинус 2 реснитчатая клетка 2 клетка рис 2 цветной 2 эпителиальные ткани и жезелы 2 ehf 2 рисунок для презентации 2 Соед ткани 2 разновидносьти поверхности клетки 2 aaa 2 ммм 2 рибосомы 2 1212 2 синтез белка и экзоцитоз 2 кпуфпу 1 1. Клетка 1 эпителиалные ткани 1 гистология цветной атлас 1 й2вЦФВЧЙ 1 ганглии 1 Аук 1 ядро и цитоплазма 1 nrfym 1 цвацфУА 1 нужное и важное 1 У2е 1 органеллы 1 ЦУВЦ 1 нмопк 1 ядро рисунок 1 схема слюнной железы 1 хондроциты 1 Синтез белков 1 гистологи 1 клетки соед. ткани 1 Цвет гистологич 1 Органоиды клетки 1 Синапсы и их строение, важно запомнить 1 m[kp[l 1 Синтез белков и экзоцитоз 1 Экзоцитоз 1 Строение белого вещества головного мозга, главное не забыть 1 Новая 1 уак 1 Фото тканей 1 стереоцилии 1 khkmnm 1 Фото Эндокринная система 1 647 1 Гиста процессы 1 Межклеточная соединение 1 ТК Эпит 1 y5yyy 1 гист 1 1 авоао 1 форменные элементы 1 влв 1 гист 2 1 Рисунок клетки гистология 1 нейромедиаторы 1 Закладка 5 1 наге 1 спинномозговой нерв 1 свэг3 1 sdrfyh 1 Еооел 1 паычпув 1 кров система 1 гисфиз 1 Эпителиальные ткани и железы 1 начало гистологии 1 nv 1
Дополнительные материалы
Изображения 45

Ещё больше материалов после регистрации

Видео 0
В этом разделе еще нет дополнительных материалов, будьте первыми.
Аудио 0
В этом разделе еще нет дополнительных материалов, будьте первыми.
Документы 0
В этом разделе еще нет дополнительных материалов, будьте первыми.
Добавить материал
Цветной атлас гистологии : атлас / ред. В. П. Сапрыкин. - М. : Логосфера, 2008. - 480 c. - ISBN 9785986570129. - Текст : электронный // ЭБС "Букап" : [сайт]. - URL : https://www.books-up.ru/ru/book/cvetnoj-atlas-gistologii-4726567/ (дата обращения: 22.05.2026). - Режим доступа : по подписке.
"Атлас написан таким образом, чтобы представленный в нём материал был полным и легко запоминался студентами. Мы хотим помочь студенту освоить гистологию и не быть при этом «раздавленным» предметом"

Л. П. Гартнер, Дж. Л. Хайатт

Атлас можно использовать и в гистологической лаборатории в качестве дидактического и практического пособия при изготовлении препаратов
Каждая фотография снабжена указанием суммарного увеличения микроскопа и фотоаппарата
Подписка
3 месяца
6 месяцев
12 месяцев
Читать отрывок

Предыдущие издания «Цветного атласа гистологии» помогали студентам изучать структуру и функцию тканей и органов на клеточном уровне. Четвёртое издание Атласа предоставляет медикам и биологам 390 микрофотографий, 39 электронограмм и 43 схем, раскрывающих гистологическое строение основных тканей и всех систем органов человека. Каждая глава атласа начинается с введения и включает цветные схематические иллюстрации, в которых кратко рассматриваются основные понятия, необходимые для понимания гистологии. Вставки «Клинические аспекты» по ходу изложения текста раскрывают связь гистологической информации с основами медицинской практики. Чтобы помочь студентам применять гистологические концепции на практике, в главы Атласа также включена информация о патологических аспектах.
«Цветной атлас гистологии», написанный чётко и кратко, широко известен сочетанием художественного оформления и клинического подхода к изложению материала. Студенты также оценят компактный размер книги, удобный для использования ее в лаборатории.

свернуть

Отзывы о книге

1
Кизима Сергей
31.07.2018
Чёткий, краткий и что важно, компактный атлас. Отлично!
1 462 2 414 Атлас 158 предисловие 102 3 102 Клетка 95 4 93 Гистология 92 Оглавление 86 гиста 49 Важно 44 начало 44 ткани 25 11 25 Тег 1 24 12 24 111 21 Нервная ткань 18 ядро 18 Схема 15 ткань 13 железы 12 Митоз 12 Эпителий 11 соединительная ткань 10 цитоплазма 9 Тэг 4 9 мышечная ткань 8 Комплекс Гольджи 7 аппарат гольджи 7 Третий 7 Тэг 7 6 ппп 5 хрящевые и костные ткани 5 ура 4 777 4 Рр 4 рисунки 4 Железа 3 мембраны 3 Митохондрий 3 мышечные ткани 3 ацинус 2 реснитчатая клетка 2 клетка рис 2 цветной 2 эпителиальные ткани и жезелы 2 ehf 2 рисунок для презентации 2 Соед ткани 2 разновидносьти поверхности клетки 2 aaa 2 ммм 2 рибосомы 2 1212 2 синтез белка и экзоцитоз 2 кпуфпу 1 1. Клетка 1 эпителиалные ткани 1 гистология цветной атлас 1 й2вЦФВЧЙ 1 ганглии 1 Аук 1 ядро и цитоплазма 1 nrfym 1 цвацфУА 1 нужное и важное 1 У2е 1 органеллы 1 ЦУВЦ 1 нмопк 1 ядро рисунок 1 схема слюнной железы 1 хондроциты 1 Синтез белков 1 гистологи 1 клетки соед. ткани 1 Цвет гистологич 1 Органоиды клетки 1 Синапсы и их строение, важно запомнить 1 m[kp[l 1 Синтез белков и экзоцитоз 1 Экзоцитоз 1 Строение белого вещества головного мозга, главное не забыть 1 Новая 1 уак 1 Фото тканей 1 стереоцилии 1 khkmnm 1 Фото Эндокринная система 1 647 1 Гиста процессы 1 Межклеточная соединение 1 ТК Эпит 1 y5yyy 1 гист 1 1 авоао 1 форменные элементы 1 влв 1 гист 2 1 Рисунок клетки гистология 1 нейромедиаторы 1 Закладка 5 1 наге 1 спинномозговой нерв 1 свэг3 1 sdrfyh 1 Еооел 1 паычпув 1 кров система 1 гисфиз 1 Эпителиальные ткани и железы 1 начало гистологии 1 nv 1

Дополнительные материалы

Ещё больше материалов после регистрации

В этом разделе еще нет дополнительных материалов, будьте первыми.
В этом разделе еще нет дополнительных материалов, будьте первыми.
В этом разделе еще нет дополнительных материалов, будьте первыми.
Добавить материал

Похожие книги

Предыдущие издания «Цветного атласа гистологии» помогали студентам изучать структуру и функцию тканей и органов на клеточном уровне. Четвёртое издание Атласа предоставляет медикам и биологам 390 микрофотографий, 39 электронограмм и 43 схем, раскрывающих гистологическое строение основных тканей и всех систем органов человека. Каждая глава атласа начинается с введения и включает цветные схематические иллюстрации, в которых кратко рассматриваются основные понятия, необходимые для понимания гистологии. Вставки «Клинические аспекты» по ходу изложения текста раскрывают связь гистологической информации с основами медицинской практики. Чтобы помочь студентам применять гистологические концепции на практике, в главы Атласа также включена информация о патологических аспектах.