Размер шрифта:
Цвета сайта:
Изображения:
 

Мультиспиральная компьютерная томография в эндокринологии

Читать отрывок
Подписка
Скачать PDF
Читать отрывок
Мультиспиральная компьютерная томография в эндокринологии / И. И. Дедов, Н. В. Тарбаева, С. А. Бурякина и др. - М. : Видар-М, 2020. - 176 c. - ISBN 9785884292581. - Текст : электронный // ЭБС "Букап" : [сайт]. - URL : https://www.books-up.ru/ru/book/multispiralnaya-kompyuternaya-tomografiya-v-endokrinologii-16175973/ (дата обращения: 10.05.2026). - Режим доступа : по подписке.
Аннотация

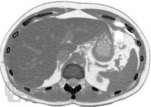
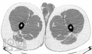
В руководстве подробно описана методология проведения компьютерно-томографического исследования при эндокринологических заболеваниях, рассмотрены основные диагностические аспекты и возможности компьютерной томографии при образованиях надпочечников, щитовидных и паращитовидных желез, гипофиза, заболеваниях костей и офтальмопатии. Продемонстрированы также возможности современной мультиспиральной компьютерной томографии в диагностике эндокринопатий. Издание иллюстрировано большим количеством компьютерных томограмм.
Руководство предназначено для врачей компьютерной томографии и эндокринологов, а также ординаторов по специальности «рентгенология» и студентов старших курсов медицинских вузов.

свернуть
Дополнительные материалы
Изображения 246

Ещё больше материалов после регистрации

Видео 0
В этом разделе еще нет дополнительных материалов, будьте первыми.
Аудио 0
В этом разделе еще нет дополнительных материалов, будьте первыми.
Документы 0
В этом разделе еще нет дополнительных материалов, будьте первыми.
Добавить материал
Мультиспиральная компьютерная томография в эндокринологии / И. И. Дедов, Н. В. Тарбаева, С. А. Бурякина и др. - М. : Видар-М, 2020. - 176 c. - ISBN 9785884292581. - Текст : электронный // ЭБС "Букап" : [сайт]. - URL : https://www.books-up.ru/ru/book/multispiralnaya-kompyuternaya-tomografiya-v-endokrinologii-16175973/ (дата обращения: 10.05.2026). - Режим доступа : по подписке.
Подписка
6 месяцев
12 месяцев
Скачать PDF
Читать отрывок

В руководстве подробно описана методология проведения компьютерно-томографического исследования при эндокринологических заболеваниях, рассмотрены основные диагностические аспекты и возможности компьютерной томографии при образованиях надпочечников, щитовидных и паращитовидных желез, гипофиза, заболеваниях костей и офтальмопатии. Продемонстрированы также возможности современной мультиспиральной компьютерной томографии в диагностике эндокринопатий. Издание иллюстрировано большим количеством компьютерных томограмм.
Руководство предназначено для врачей компьютерной томографии и эндокринологов, а также ординаторов по специальности «рентгенология» и студентов старших курсов медицинских вузов.

свернуть

Дополнительные материалы

Ещё больше материалов после регистрации

В этом разделе еще нет дополнительных материалов, будьте первыми.
В этом разделе еще нет дополнительных материалов, будьте первыми.
В этом разделе еще нет дополнительных материалов, будьте первыми.
Добавить материал

Похожие книги