Размер шрифта:
Цвета сайта:
Изображения:
 

Атлас нормальной анатомии магнитно-резонансной и компьютерной томографии головного мозга

3

Читать отрывок
Подписка
Читать отрывок
Байбаков С. Е. Атлас нормальной анатомии магнитно-резонансной и компьютерной томографии головного мозга : учебное пособие / С. Е. Байбаков, Е. А. Власов. - СПб : СпецЛит, 2015. - 244 c. - ISBN 9785299004946. - Текст : электронный // ЭБС "Букап" : [сайт]. - URL : https://www.books-up.ru/ru/book/atlas-normalnoj-anatomii-magnitno-rezonansnoj-i-kompyuternoj-tomografii-golovnogo-mozga-2848946/ (дата обращения: 18.05.2026). - Режим доступа : по подписке.
Аннотация

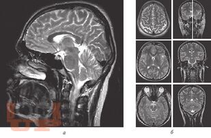
«Атлас нормальной анатомии магнитно-резонансной и компьютерной томографии головного мозга» посвящен актуальной проблеме нейроморфологии и краниологии — прижизненной макроскопической характеристике головного мозга и черепа с применением современных методов визуализации — магнитно-резонансной томографии и компьютерной томографии.
Cовременные запросы радиологической, нейрохирургической, неврологической и психиатрической клиники позволяют пользоваться традиционными атласами классической описательной анатомии, однако требуются атласы прижизненной анатомии головного мозга, которые помогают избежать артефактов и погрешностей, возникающих при фиксации головного мозга. Верификация существующих данных, определение новых стереотаксических и топографических взаимоотношений — основная задача, которую поставили перед собой авторы данного Атласа.
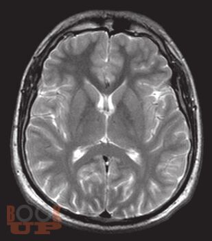
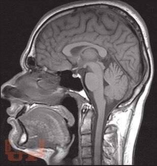
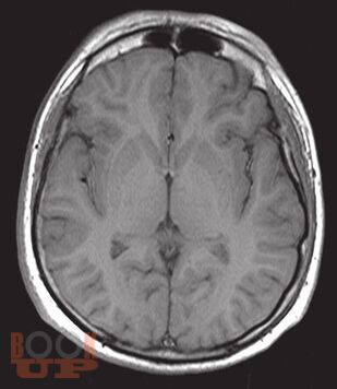
В Атласе представлены более 500 томограмм: магнитно-резонансные томограммы головного мозга, магнитно-резонансные ангиограммы головного мозга, магнитно-резонансные томограммы черепных нервов, компьютерные томограммы головного мозга, компьютерные ангиограммы сосудов головного мозга. Выполнена компьютерная реконструкция костей черепа, дана подробная информация об одном из сложнейших объектов черепа человека — височной кости.
Представленные томограммы могут заинтересовать специалистов в области магнитно-резонансной и компьютерной диагностики не только в качестве эквивалента нормы головного мозга, но и в пределах достаточно широкого диапазона индивидуальной анатомической нормы.
Атлас предназначен для студентов медицинских вузов при изучении нормальной анатомии человека, специалистов в области МРТ- и КТ-диагностики, врачей-нейрохирургов, неврологов, психиатров, оториноларингологов и других специалистов-клиницистов.

свернуть
Дополнительные материалы
Изображения 237

Ещё больше материалов после регистрации

Видео 0
В этом разделе еще нет дополнительных материалов, будьте первыми.
Аудио 0
В этом разделе еще нет дополнительных материалов, будьте первыми.
Документы 0
В этом разделе еще нет дополнительных материалов, будьте первыми.
Добавить материал
Байбаков С. Е. Атлас нормальной анатомии магнитно-резонансной и компьютерной томографии головного мозга : учебное пособие / С. Е. Байбаков, Е. А. Власов. - СПб : СпецЛит, 2015. - 244 c. - ISBN 9785299004946. - Текст : электронный // ЭБС "Букап" : [сайт]. - URL : https://www.books-up.ru/ru/book/atlas-normalnoj-anatomii-magnitno-rezonansnoj-i-kompyuternoj-tomografii-golovnogo-mozga-2848946/ (дата обращения: 18.05.2026). - Режим доступа : по подписке.
Подписка
6 месяцев
12 месяцев
Читать отрывок

«Атлас нормальной анатомии магнитно-резонансной и компьютерной томографии головного мозга» посвящен актуальной проблеме нейроморфологии и краниологии — прижизненной макроскопической характеристике головного мозга и черепа с применением современных методов визуализации — магнитно-резонансной томографии и компьютерной томографии.
Cовременные запросы радиологической, нейрохирургической, неврологической и психиатрической клиники позволяют пользоваться традиционными атласами классической описательной анатомии, однако требуются атласы прижизненной анатомии головного мозга, которые помогают избежать артефактов и погрешностей, возникающих при фиксации головного мозга. Верификация существующих данных, определение новых стереотаксических и топографических взаимоотношений — основная задача, которую поставили перед собой авторы данного Атласа.
В Атласе представлены более 500 томограмм: магнитно-резонансные томограммы головного мозга, магнитно-резонансные ангиограммы головного мозга, магнитно-резонансные томограммы черепных нервов, компьютерные томограммы головного мозга, компьютерные ангиограммы сосудов головного мозга. Выполнена компьютерная реконструкция костей черепа, дана подробная информация об одном из сложнейших объектов черепа человека — височной кости.
Представленные томограммы могут заинтересовать специалистов в области магнитно-резонансной и компьютерной диагностики не только в качестве эквивалента нормы головного мозга, но и в пределах достаточно широкого диапазона индивидуальной анатомической нормы.
Атлас предназначен для студентов медицинских вузов при изучении нормальной анатомии человека, специалистов в области МРТ- и КТ-диагностики, врачей-нейрохирургов, неврологов, психиатров, оториноларингологов и других специалистов-клиницистов.

свернуть

Дополнительные материалы

Ещё больше материалов после регистрации

В этом разделе еще нет дополнительных материалов, будьте первыми.
В этом разделе еще нет дополнительных материалов, будьте первыми.
В этом разделе еще нет дополнительных материалов, будьте первыми.
Добавить материал

Похожие книги