Размер шрифта:
Цвета сайта:
Изображения:
 

Болезнь Гоше (10 лет спустя)

Читать отрывок
Подписка
Печатная версия
Читать отрывок
Лукина Е. А. Болезнь Гоше (10 лет спустя) / Е. А. Лукина. - М. : Практическая медицина, 2021. - 56 c. - ISBN 9785988116592. - Текст : электронный // ЭБС "Букап" : [сайт]. - URL : https://www.books-up.ru/ru/book/bolezn-goshe-10-let-spustya-13882384/ (дата обращения: 16.05.2026). - Режим доступа : по подписке.
Аннотация

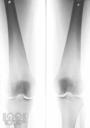
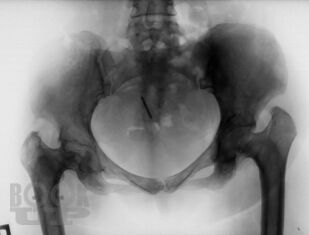
Болезнь Гоше относится к системным заболеваниям неопухолевой природы, в основе которых лежат наследственные дефекты метаболизма, приводящие к накоплению в органах и тканях нерасщепленных продуктов нормального обмена веществ. В случае болезни Гоше дефектом метаболизма является дефицит фермента, ответственного за метаболизм липидов.
Цель книги — познакомить врачей различных специальностей с основными клиническими проявлениями болезни Гоше, продемонстрировать исключительную вариабельность течения болезни на примере конкретных клинических случаев, показать характерные ошибки диагностики и ведения пациентов с болезнью Гоше. Помимо врачей, книга может быть полезной для образования самих пациентов и их родственников, так как некоторые особенности клинического течения заболевания напрямую связаны с социально-бытовыми аспектами: образом жизни, физической активностью, наличием бытовых интоксикаций и др.

свернуть
Дополнительные материалы
Изображения 8

Ещё больше материалов после регистрации

Видео 0
В этом разделе еще нет дополнительных материалов, будьте первыми.
Аудио 0
В этом разделе еще нет дополнительных материалов, будьте первыми.
Документы 0
В этом разделе еще нет дополнительных материалов, будьте первыми.
Добавить материал
Лукина Е. А. Болезнь Гоше (10 лет спустя) / Е. А. Лукина. - М. : Практическая медицина, 2021. - 56 c. - ISBN 9785988116592. - Текст : электронный // ЭБС "Букап" : [сайт]. - URL : https://www.books-up.ru/ru/book/bolezn-goshe-10-let-spustya-13882384/ (дата обращения: 16.05.2026). - Режим доступа : по подписке.
Подписка
3 месяца
6 месяцев
12 месяцев
Печатная версия
Читать отрывок

Болезнь Гоше относится к системным заболеваниям неопухолевой природы, в основе которых лежат наследственные дефекты метаболизма, приводящие к накоплению в органах и тканях нерасщепленных продуктов нормального обмена веществ. В случае болезни Гоше дефектом метаболизма является дефицит фермента, ответственного за метаболизм липидов.
Цель книги — познакомить врачей различных специальностей с основными клиническими проявлениями болезни Гоше, продемонстрировать исключительную вариабельность течения болезни на примере конкретных клинических случаев, показать характерные ошибки диагностики и ведения пациентов с болезнью Гоше. Помимо врачей, книга может быть полезной для образования самих пациентов и их родственников, так как некоторые особенности клинического течения заболевания напрямую связаны с социально-бытовыми аспектами: образом жизни, физической активностью, наличием бытовых интоксикаций и др.

свернуть

Дополнительные материалы

Ещё больше материалов после регистрации

В этом разделе еще нет дополнительных материалов, будьте первыми.
В этом разделе еще нет дополнительных материалов, будьте первыми.
В этом разделе еще нет дополнительных материалов, будьте первыми.
Добавить материал

Похожие книги