Размер шрифта:
Цвета сайта:
Изображения:
 

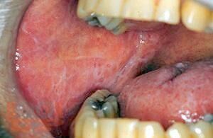
Красный плоский лишай слизистой оболочки рта (клиника, диагностика, лечение)

Большая медицинская библиотека
Читать отрывок
Подписка
Читать отрывок
Силантьева Е. Н. Красный плоский лишай слизистой оболочки рта (клиника, диагностика, лечение) : Учебно-методическое пособие для врачей / Е. Н. Силантьева, А. И. Заболотный. - Казань : КГМА, 2018. - 76 c. - Текст : электронный // ЭБС "Букап" : [сайт]. - URL : https://www.books-up.ru/ru/book/krasnyj-ploskij-lishaj-slizistoj-obolochki-rta-klinika-diagnostika-lechenie-16052230/ (дата обращения: 05.05.2026). - Режим доступа : по подписке.
Аннотация

В учебно-методическом пособии представлены современные методы диагностики, дифференциальной диагностики, лечения и реабилитации пациентов с красным плоским лишаем слизистой оболочки полости рта.

Пособие предназначено для врачей-стоматологов разных специальностей: терапевтов, хирургов, ортопедов, общей практики. Пособие может быть использовано для подготовки к квалификационному, сертификационному экзаменам и аккредитации врачей по специальности «Стоматология терапевтическая», а также врачами ординаторами и студентами стоматологического факультета как дополнительная учебная литература.

свернуть
Дополнительные материалы
Изображения 31

Ещё больше материалов после регистрации

Видео 0
В этом разделе еще нет дополнительных материалов, будьте первыми.
Аудио 0
В этом разделе еще нет дополнительных материалов, будьте первыми.
Документы 0
В этом разделе еще нет дополнительных материалов, будьте первыми.
Добавить материал
Большая медицинская библиотека
Силантьева Е. Н. Красный плоский лишай слизистой оболочки рта (клиника, диагностика, лечение) : Учебно-методическое пособие для врачей / Е. Н. Силантьева, А. И. Заболотный. - Казань : КГМА, 2018. - 76 c. - Текст : электронный // ЭБС "Букап" : [сайт]. - URL : https://www.books-up.ru/ru/book/krasnyj-ploskij-lishaj-slizistoj-obolochki-rta-klinika-diagnostika-lechenie-16052230/ (дата обращения: 05.05.2026). - Режим доступа : по подписке.
Подписка
12 месяцев
Читать отрывок

В учебно-методическом пособии представлены современные методы диагностики, дифференциальной диагностики, лечения и реабилитации пациентов с красным плоским лишаем слизистой оболочки полости рта.

Пособие предназначено для врачей-стоматологов разных специальностей: терапевтов, хирургов, ортопедов, общей практики. Пособие может быть использовано для подготовки к квалификационному, сертификационному экзаменам и аккредитации врачей по специальности «Стоматология терапевтическая», а также врачами ординаторами и студентами стоматологического факультета как дополнительная учебная литература.

свернуть

Дополнительные материалы

Ещё больше материалов после регистрации

В этом разделе еще нет дополнительных материалов, будьте первыми.
В этом разделе еще нет дополнительных материалов, будьте первыми.
В этом разделе еще нет дополнительных материалов, будьте первыми.
Добавить материал

Похожие книги