Размер шрифта:
Цвета сайта:
Изображения:
 

Комплексная клинико-лабораторно-лучевая диагностика эхинококкоза печени

Большая медицинская библиотека
Читать отрывок
Подписка
Читать отрывок
Лотфуллин А. З. Комплексная клинико-лабораторно-лучевая диагностика эхинококкоза печени / А. З. Лотфуллин, С. Р. Зогот, Р. Ф. Акберов. - Казань : КГМА, 2017. - 75 c. - Текст : электронный // ЭБС "Букап" : [сайт]. - URL : https://www.books-up.ru/ru/book/kompleksnaya-kliniko-laboratorno-luchevaya-diagnostika-ehinokokkoza-pecheni-10464031/ (дата обращения: 14.05.2026). - Режим доступа : по подписке.
Аннотация

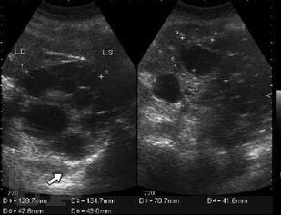
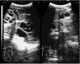
В Практическом руководстве отражены вопросы клинико-лабораторно-лучевой диагностики эхинококкоза печени с сипользованием УЗИ, РКТ, МРТ и современные аспекты лечения. Практическое руководство предназначено для специалистов лучевой, клинической, лабораторной диагностики, терапевтов, гепатологов, хирургов, онкологов.

свернуть
Дополнительные материалы
Изображения 68

Ещё больше материалов после регистрации

Видео 0
В этом разделе еще нет дополнительных материалов, будьте первыми.
Аудио 0
В этом разделе еще нет дополнительных материалов, будьте первыми.
Документы 0
В этом разделе еще нет дополнительных материалов, будьте первыми.
Добавить материал
Большая медицинская библиотека
Лотфуллин А. З. Комплексная клинико-лабораторно-лучевая диагностика эхинококкоза печени / А. З. Лотфуллин, С. Р. Зогот, Р. Ф. Акберов. - Казань : КГМА, 2017. - 75 c. - Текст : электронный // ЭБС "Букап" : [сайт]. - URL : https://www.books-up.ru/ru/book/kompleksnaya-kliniko-laboratorno-luchevaya-diagnostika-ehinokokkoza-pecheni-10464031/ (дата обращения: 14.05.2026). - Режим доступа : по подписке.
Подписка
12 месяцев
Читать отрывок

В Практическом руководстве отражены вопросы клинико-лабораторно-лучевой диагностики эхинококкоза печени с сипользованием УЗИ, РКТ, МРТ и современные аспекты лечения. Практическое руководство предназначено для специалистов лучевой, клинической, лабораторной диагностики, терапевтов, гепатологов, хирургов, онкологов.

свернуть

Дополнительные материалы

Ещё больше материалов после регистрации

В этом разделе еще нет дополнительных материалов, будьте первыми.
В этом разделе еще нет дополнительных материалов, будьте первыми.
В этом разделе еще нет дополнительных материалов, будьте первыми.
Добавить материал

Похожие книги