Размер шрифта:
Цвета сайта:
Изображения:
 

Редкие неврологические синдромы и болезни (наблюдения из практики)

Read part of it
Подписка
Read part of it
Пономарев В. В. Редкие неврологические синдромы и болезни (наблюдения из практики) : руководство для врачей / В. В. Пономарев. - СПб. : Фолиант, 2005. - 216 c. - ISBN 9785939291163. - Текст : электронный // ЭБС "Букап" : [сайт]. - URL : https://www.books-up.ru/en/book/redkie-nevrologicheskie-sindromy-i-bolezni-nablyudeniya-iz-praktiki-5230558/ (дата обращения: 18.05.2026). - Режим доступа : по подписке.
Аннотация

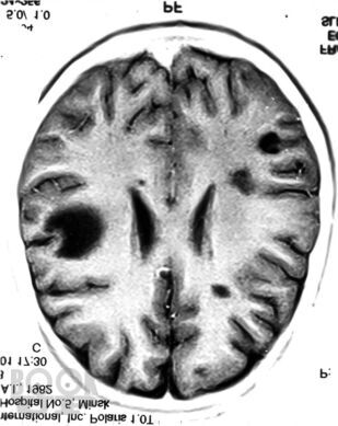
В руководстве обобщен практический опыт и анализ современной литературы по диагностике и лечению 30 редких или атипично протекающих неврологических синдромов и болезней. Обсуждаются аспекты этиопатогенеза, клинической картины, дифференциальной диагностики, наиболее типичные тактические и терапевтические ошибки.
Адресовано неврологам и врачам других специальностей, интересующимся проблемами диагностики и лечения «трудных» и редко встречающихся заболеваний.

свернуть
Дополнительные материалы
Изображения 37

Ещё больше материалов после регистрации

Видео 0
В этом разделе еще нет дополнительных материалов, будьте первыми.
Аудио 0
В этом разделе еще нет дополнительных материалов, будьте первыми.
Документы 0
В этом разделе еще нет дополнительных материалов, будьте первыми.
Добавить материал
Пономарев В. В. Редкие неврологические синдромы и болезни (наблюдения из практики) : руководство для врачей / В. В. Пономарев. - СПб. : Фолиант, 2005. - 216 c. - ISBN 9785939291163. - Текст : электронный // ЭБС "Букап" : [сайт]. - URL : https://www.books-up.ru/en/book/redkie-nevrologicheskie-sindromy-i-bolezni-nablyudeniya-iz-praktiki-5230558/ (дата обращения: 18.05.2026). - Режим доступа : по подписке.
Подписка
12 месяцев
Read part of it

В руководстве обобщен практический опыт и анализ современной литературы по диагностике и лечению 30 редких или атипично протекающих неврологических синдромов и болезней. Обсуждаются аспекты этиопатогенеза, клинической картины, дифференциальной диагностики, наиболее типичные тактические и терапевтические ошибки.
Адресовано неврологам и врачам других специальностей, интересующимся проблемами диагностики и лечения «трудных» и редко встречающихся заболеваний.

свернуть

Дополнительные материалы

Ещё больше материалов после регистрации

В этом разделе еще нет дополнительных материалов, будьте первыми.
В этом разделе еще нет дополнительных материалов, будьте первыми.
В этом разделе еще нет дополнительных материалов, будьте первыми.
Добавить материал

Похожие книги