Размер шрифта:
Цвета сайта:
Изображения:
 

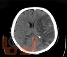
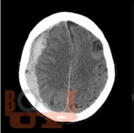
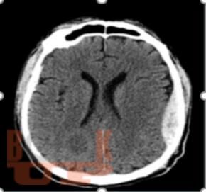
Интенсивная терапия внутричерепной гипертензии

Большая медицинская библиотека
Read part of it
Подписка
Read part of it
Довбыш Н. Ю. Интенсивная терапия внутричерепной гипертензии : учебное пособие / Н. Ю. Довбыш, А. И. Грицан. - Красноярск : КрасГМУ, 2025. - 52 c. - Текст : электронный // ЭБС "Букап" : [сайт]. - URL : https://www.books-up.ru/en/book/intensivnaya-terapiya-vnutricherepnoj-gipertenzii-19638571/ (дата обращения: 28.05.2026). - Режим доступа : по подписке.
Аннотация

Учебное пособие предназначено для ординаторов и слушателей курсов повышения квалификации по специальностям «Анестезиология и реаниматология», «Неврология», «Нейрохирургия». В настоящем учебном пособии освещены ключевые подходы к диагностике и оказанию помощи при внутричерепной гипертензии. Имеются тестовые задания и ситуационные задачи для самоконтроля знаний.

свернуть
Дополнительные материалы
Изображения 18

Ещё больше материалов после регистрации

Видео 0
В этом разделе еще нет дополнительных материалов, будьте первыми.
Аудио 0
В этом разделе еще нет дополнительных материалов, будьте первыми.
Документы 0
В этом разделе еще нет дополнительных материалов, будьте первыми.
Добавить материал
Большая медицинская библиотека
Довбыш Н. Ю. Интенсивная терапия внутричерепной гипертензии : учебное пособие / Н. Ю. Довбыш, А. И. Грицан. - Красноярск : КрасГМУ, 2025. - 52 c. - Текст : электронный // ЭБС "Букап" : [сайт]. - URL : https://www.books-up.ru/en/book/intensivnaya-terapiya-vnutricherepnoj-gipertenzii-19638571/ (дата обращения: 28.05.2026). - Режим доступа : по подписке.
Подписка
6 месяцев
12 месяцев
Read part of it

Учебное пособие предназначено для ординаторов и слушателей курсов повышения квалификации по специальностям «Анестезиология и реаниматология», «Неврология», «Нейрохирургия». В настоящем учебном пособии освещены ключевые подходы к диагностике и оказанию помощи при внутричерепной гипертензии. Имеются тестовые задания и ситуационные задачи для самоконтроля знаний.

свернуть

Дополнительные материалы

Ещё больше материалов после регистрации

В этом разделе еще нет дополнительных материалов, будьте первыми.
В этом разделе еще нет дополнительных материалов, будьте первыми.
В этом разделе еще нет дополнительных материалов, будьте первыми.
Добавить материал

Похожие книги