Размер шрифта:
Цвета сайта:
Изображения:
 

Доброкачественные опухоли желудка. Ч. 2. Неэпителиальные опухоли

Read part of it
Подписка
Read part of it
Доброкачественные опухоли желудка. Ч. 2. Неэпителиальные опухоли : Учебно-методическое пособие / В. В. Добронец, М. Н. Кузин, Л. В. Шкалова, В. В. Радовский. - Санкт-Петербург : СпецЛит, 2022. - 87 c.. - (Эндоскопическая диагностика заболеваний ЖКТ). - ISBN 9785299011401. - Текст : электронный // ЭБС "Букап" : [сайт]. - URL : https://www.books-up.ru/en/book/dobrokachestvennye-opuholi-zheludka-ch-2-neepitelialnye-opuholi-18489267/ (дата обращения: 25.04.2026). - Режим доступа : по подписке.
Аннотация

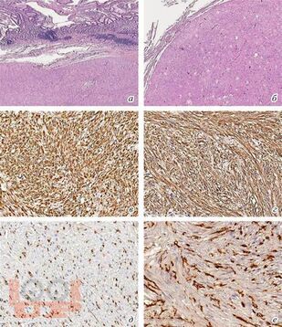
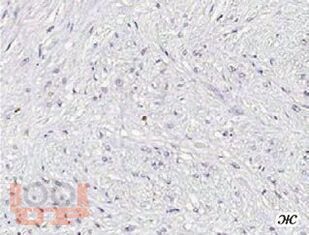
Авторы продолжают серию учебно-методических пособий по эндоскопической диагностике заболеваний желудочно-кишечного тракта. Во второй части пособия рассмотрены вопросы эндоскопической и морфологической диагностики неэпителиальных доброкачественных опухолей желудка. На конкретных примерах с фотографиями даны варианты протокола эндоскопического заключения.

Издание предназначено для врачей-эндоскопистов, курсантов, обучающихся по специальности «Эндоскопия», а также хирургов, онкологов и морфологов.

свернуть
Дополнительные материалы
Изображения 64

Ещё больше материалов после регистрации

Видео 0
В этом разделе еще нет дополнительных материалов, будьте первыми.
Аудио 0
В этом разделе еще нет дополнительных материалов, будьте первыми.
Документы 0
В этом разделе еще нет дополнительных материалов, будьте первыми.
Добавить материал
Доброкачественные опухоли желудка. Ч. 2. Неэпителиальные опухоли : Учебно-методическое пособие / В. В. Добронец, М. Н. Кузин, Л. В. Шкалова, В. В. Радовский. - Санкт-Петербург : СпецЛит, 2022. - 87 c.. - (Эндоскопическая диагностика заболеваний ЖКТ). - ISBN 9785299011401. - Текст : электронный // ЭБС "Букап" : [сайт]. - URL : https://www.books-up.ru/en/book/dobrokachestvennye-opuholi-zheludka-ch-2-neepitelialnye-opuholi-18489267/ (дата обращения: 25.04.2026). - Режим доступа : по подписке.
Подписка
6 месяцев
12 месяцев
Read part of it

Авторы продолжают серию учебно-методических пособий по эндоскопической диагностике заболеваний желудочно-кишечного тракта. Во второй части пособия рассмотрены вопросы эндоскопической и морфологической диагностики неэпителиальных доброкачественных опухолей желудка. На конкретных примерах с фотографиями даны варианты протокола эндоскопического заключения.

Издание предназначено для врачей-эндоскопистов, курсантов, обучающихся по специальности «Эндоскопия», а также хирургов, онкологов и морфологов.

свернуть

Дополнительные материалы

Ещё больше материалов после регистрации

В этом разделе еще нет дополнительных материалов, будьте первыми.
В этом разделе еще нет дополнительных материалов, будьте первыми.
В этом разделе еще нет дополнительных материалов, будьте первыми.
Добавить материал

Похожие книги