Размер шрифта:
Цвета сайта:
Изображения:
 

Лабораторная диагностика острого лейкоза

Большая медицинская библиотека
Read part of it
Подписка
Read part of it
Устинова М. Н. Лабораторная диагностика острого лейкоза : Учебное пособие / М. Н. Устинова, О. А. Лешина. - Волгоград : ВолгГМУ, 2022. - 60 c. - ISBN 9785965208173. - Текст : электронный // ЭБС "Букап" : [сайт]. - URL : https://www.books-up.ru/en/book/laboratornaya-diagnostika-ostrogo-lejkoza-16261769/ (дата обращения: 18.05.2026). - Режим доступа : по подписке.
Аннотация

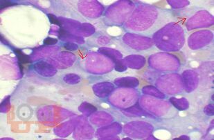
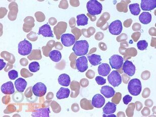
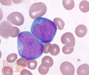
Учебное пособие посвящено современной лабораторной диагностике острого лейкоза, иммунофенотипированию, миелоидным, моноцитарным, лимфоидным маркерам. Пособие предназначено для студентов, обучающихся по специальности «Лечебное дело». Материал способствует формированию компетенций ПК-1, ПК-5, ПК-6.

свернуть
Дополнительные материалы
Видео 0
В этом разделе еще нет дополнительных материалов, будьте первыми.
Аудио 0
В этом разделе еще нет дополнительных материалов, будьте первыми.
Документы 0
В этом разделе еще нет дополнительных материалов, будьте первыми.
Добавить материал
Большая медицинская библиотека
Устинова М. Н. Лабораторная диагностика острого лейкоза : Учебное пособие / М. Н. Устинова, О. А. Лешина. - Волгоград : ВолгГМУ, 2022. - 60 c. - ISBN 9785965208173. - Текст : электронный // ЭБС "Букап" : [сайт]. - URL : https://www.books-up.ru/en/book/laboratornaya-diagnostika-ostrogo-lejkoza-16261769/ (дата обращения: 18.05.2026). - Режим доступа : по подписке.
Подписка
6 месяцев
12 месяцев
Read part of it

Учебное пособие посвящено современной лабораторной диагностике острого лейкоза, иммунофенотипированию, миелоидным, моноцитарным, лимфоидным маркерам. Пособие предназначено для студентов, обучающихся по специальности «Лечебное дело». Материал способствует формированию компетенций ПК-1, ПК-5, ПК-6.

свернуть

Дополнительные материалы

В этом разделе еще нет дополнительных материалов, будьте первыми.
В этом разделе еще нет дополнительных материалов, будьте первыми.
В этом разделе еще нет дополнительных материалов, будьте первыми.
Добавить материал

Похожие книги