Размер шрифта:
Цвета сайта:
Изображения:
 

Онкологическая настороженность в стоматологической практике

Большая медицинская библиотека
Read part of it
Подписка
Read part of it
Шлегель Ю. В. Онкологическая настороженность в стоматологической практике : методические рекомендации / Ю. В. Шлегель, Т. В. Домнич, Д. И. Тазин. - Томск : Издательство СибГМУ, 2016. - 48 c. - ISBN 9685005005660. - Текст : электронный // ЭБС "Букап" : [сайт]. - URL : https://www.books-up.ru/en/book/onkologicheskaya-nastorozhennost-v-stomatologicheskoj-praktike-5027911/ (дата обращения: 14.05.2026). - Режим доступа : по подписке.
Аннотация

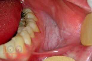
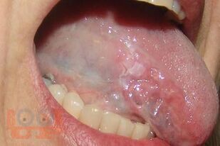
Методические рекомендации разработаны на основании законодательных и научных литературных данных. В рекомендациях изложены общие сведения об онкологических заболеваниях челюстно-лицевой области, алгоритмы и способы диагностики, профилактики злокачественных новообразований, особенности их клиники при различных локализациях на лице и в полости рта. Представлена тактика врача при подозрении на онкозаболевание, указаны предраковые состояния, которые требуют особого внимания специалистов. Методические рекомендации предназначены для организаторов здравоохранения, врачей первичного звена, врачей специалистов, студентов стоматологических факультетов, интернов, врачей-ординаторов.

свернуть
Дополнительные материалы
Изображения 26

Ещё больше материалов после регистрации

Видео 0
В этом разделе еще нет дополнительных материалов, будьте первыми.
Аудио 0
В этом разделе еще нет дополнительных материалов, будьте первыми.
Документы 0
В этом разделе еще нет дополнительных материалов, будьте первыми.
Добавить материал
Большая медицинская библиотека
Шлегель Ю. В. Онкологическая настороженность в стоматологической практике : методические рекомендации / Ю. В. Шлегель, Т. В. Домнич, Д. И. Тазин. - Томск : Издательство СибГМУ, 2016. - 48 c. - ISBN 9685005005660. - Текст : электронный // ЭБС "Букап" : [сайт]. - URL : https://www.books-up.ru/en/book/onkologicheskaya-nastorozhennost-v-stomatologicheskoj-praktike-5027911/ (дата обращения: 14.05.2026). - Режим доступа : по подписке.
Подписка
12 месяцев
Read part of it

Методические рекомендации разработаны на основании законодательных и научных литературных данных. В рекомендациях изложены общие сведения об онкологических заболеваниях челюстно-лицевой области, алгоритмы и способы диагностики, профилактики злокачественных новообразований, особенности их клиники при различных локализациях на лице и в полости рта. Представлена тактика врача при подозрении на онкозаболевание, указаны предраковые состояния, которые требуют особого внимания специалистов. Методические рекомендации предназначены для организаторов здравоохранения, врачей первичного звена, врачей специалистов, студентов стоматологических факультетов, интернов, врачей-ординаторов.

свернуть

Дополнительные материалы

Ещё больше материалов после регистрации

В этом разделе еще нет дополнительных материалов, будьте первыми.
В этом разделе еще нет дополнительных материалов, будьте первыми.
В этом разделе еще нет дополнительных материалов, будьте первыми.
Добавить материал

Похожие книги