Размер шрифта:
Цвета сайта:
Изображения:
 

Церебральный токсоплазмоз

Большая медицинская библиотека
Read part of it
Подписка
Read part of it
Церебральный токсоплазмоз : учебное пособие / П. Г. Шнякин, А. В. Ботов, Н. В. Исаева, В. А. Хоржевский. - Красноярск : КрасГМУ, 2024. - 144 c. - Текст : электронный // ЭБС "Букап" : [сайт]. - URL : https://www.books-up.ru/en/book/cerebralnyj-toksoplazmoz-19724055/ (дата обращения: 28.05.2026). - Режим доступа : по подписке.
Аннотация

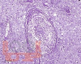
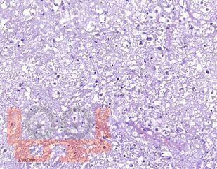
Учебное пособие посвящено актуальным вопросам патогенеза, клинического течения, диагностики и лечения церебрального токсоплазмоза у ВИЧ-инфицированных пациентов. Особое внимание уделено вопросам дифференциальной диагностики церебрального токсоплазмоза от другой патологии нервной системы, в том числе опухолей головного мозга, нарушений мозгового кровообращения, воспалительных заболеваний. В пособии представлены собственные клинические наблюдения многоочаговых и солитарных форм церебрального токсоплазмоза.
Рекомендуется для врачей неврологов, нейрохирургов, инфекционистов, рентгенологов, врачей общей практики, ординаторов и студентов старших курсов медицинских университетов.

свернуть
Дополнительные материалы
Изображения 141

Ещё больше материалов после регистрации

Видео 0
В этом разделе еще нет дополнительных материалов, будьте первыми.
Аудио 0
В этом разделе еще нет дополнительных материалов, будьте первыми.
Документы 0
В этом разделе еще нет дополнительных материалов, будьте первыми.
Добавить материал
Большая медицинская библиотека
Церебральный токсоплазмоз : учебное пособие / П. Г. Шнякин, А. В. Ботов, Н. В. Исаева, В. А. Хоржевский. - Красноярск : КрасГМУ, 2024. - 144 c. - Текст : электронный // ЭБС "Букап" : [сайт]. - URL : https://www.books-up.ru/en/book/cerebralnyj-toksoplazmoz-19724055/ (дата обращения: 28.05.2026). - Режим доступа : по подписке.
Подписка
6 месяцев
12 месяцев
Read part of it

Учебное пособие посвящено актуальным вопросам патогенеза, клинического течения, диагностики и лечения церебрального токсоплазмоза у ВИЧ-инфицированных пациентов. Особое внимание уделено вопросам дифференциальной диагностики церебрального токсоплазмоза от другой патологии нервной системы, в том числе опухолей головного мозга, нарушений мозгового кровообращения, воспалительных заболеваний. В пособии представлены собственные клинические наблюдения многоочаговых и солитарных форм церебрального токсоплазмоза.
Рекомендуется для врачей неврологов, нейрохирургов, инфекционистов, рентгенологов, врачей общей практики, ординаторов и студентов старших курсов медицинских университетов.

свернуть

Дополнительные материалы

Ещё больше материалов после регистрации

В этом разделе еще нет дополнительных материалов, будьте первыми.
В этом разделе еще нет дополнительных материалов, будьте первыми.
В этом разделе еще нет дополнительных материалов, будьте первыми.
Добавить материал

Похожие книги