Размер шрифта:
Цвета сайта:
Изображения:
 

Атлас лучевой диагностики хирургических заболеваний органов брюшной и грудной полостей

Большая медицинская библиотека
Read part of it
Подписка
Read part of it
Атлас лучевой диагностики хирургических заболеваний органов брюшной и грудной полостей : учебное пособие / Д. В. Черданцев, О. В. Первова, И. Г. Носков, Ю. Г. Трофимович. - Красноярск : КрасГМУ, 2024. - 95 c. - Текст : электронный // ЭБС "Букап" : [сайт]. - URL : https://www.books-up.ru/en/book/atlas-luchevoj-diagnostiki-hirurgicheskih-zabolevanij-organov-bryushnoj-i-grudnoj-polostej-19617585/ (дата обращения: 18.04.2026). - Режим доступа : по подписке.
Аннотация

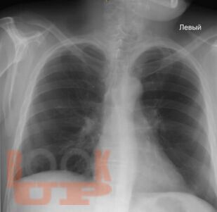
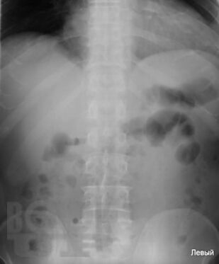
Учебное пособие разработано в соответствии с требованиями ФГОС ВО в рамках рабочей программы модуля «Госпитальная хирургия» дисциплины «Госпитальная хирургия, детская хирургия» и дисциплины «Неотложные состояния в хирургии» для обучающихся по специальности 31.05.01 «Лечебное дело». В пособии представлены наглядные изображения различной патологии органов грудной клетки и брюшной полости. Отражены методы лучевой диагностики: рентгенография, рентгеноскопия с контрастированием, компьютерная томография, эндоскопическая ретроградная холангиопанкреатография. В учебном пособии использованы оригинальные снимки, предоставленные коллективом авторов.

свернуть
Дополнительные материалы
Изображения 72

Ещё больше материалов после регистрации

Видео 0
В этом разделе еще нет дополнительных материалов, будьте первыми.
Аудио 0
В этом разделе еще нет дополнительных материалов, будьте первыми.
Документы 0
В этом разделе еще нет дополнительных материалов, будьте первыми.
Добавить материал
Большая медицинская библиотека
Атлас лучевой диагностики хирургических заболеваний органов брюшной и грудной полостей : учебное пособие / Д. В. Черданцев, О. В. Первова, И. Г. Носков, Ю. Г. Трофимович. - Красноярск : КрасГМУ, 2024. - 95 c. - Текст : электронный // ЭБС "Букап" : [сайт]. - URL : https://www.books-up.ru/en/book/atlas-luchevoj-diagnostiki-hirurgicheskih-zabolevanij-organov-bryushnoj-i-grudnoj-polostej-19617585/ (дата обращения: 18.04.2026). - Режим доступа : по подписке.
Подписка
6 месяцев
12 месяцев
Read part of it

Учебное пособие разработано в соответствии с требованиями ФГОС ВО в рамках рабочей программы модуля «Госпитальная хирургия» дисциплины «Госпитальная хирургия, детская хирургия» и дисциплины «Неотложные состояния в хирургии» для обучающихся по специальности 31.05.01 «Лечебное дело». В пособии представлены наглядные изображения различной патологии органов грудной клетки и брюшной полости. Отражены методы лучевой диагностики: рентгенография, рентгеноскопия с контрастированием, компьютерная томография, эндоскопическая ретроградная холангиопанкреатография. В учебном пособии использованы оригинальные снимки, предоставленные коллективом авторов.

свернуть

Дополнительные материалы

Ещё больше материалов после регистрации

В этом разделе еще нет дополнительных материалов, будьте первыми.
В этом разделе еще нет дополнительных материалов, будьте первыми.
В этом разделе еще нет дополнительных материалов, будьте первыми.
Добавить материал

Похожие книги