Размер шрифта:
Цвета сайта:
Изображения:
 

Методы диагностики механической желтухи

Большая медицинская библиотека
Read part of it
Подписка
Read part of it
Методы диагностики механической желтухи : Учебно-методическое пособие / М. А. Агеев, Д. А. Славин, А. Н. Чугунов, Л. Е. Славин. - Казань : КГМА, 2018. - 48 c. - Текст : электронный // ЭБС "Букап" : [сайт]. - URL : https://www.books-up.ru/en/book/metody-diagnostiki-mehanicheskoj-zheltuhi-16058875/ (дата обращения: 18.05.2026). - Режим доступа : по подписке.
Аннотация

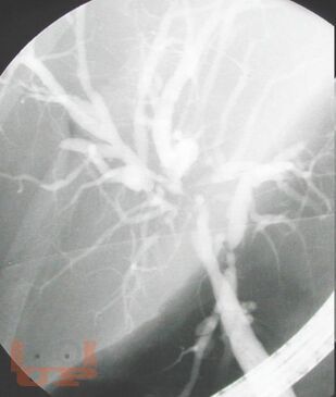
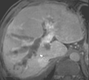
Неотложная хирургия - одно из наиболее актуальных, сложных и ответственных направлений хирургии. Пациенты пожилого и старческого возраста с механической желтухой различной этиологии толстой кишки составляют значительный контингент, госпитализируемый в хирургические стационары по экстренным показаниям. Издание реализовано с учетом опыта сотрудников кафедры и современных представлений о патогенезе, методах эндоскопической диагностики, клинических проявлениях и основных принципах лечения больных синдромом механической желтухи, обусловленной осложнениями патологии гепатопанкреатодуоденальной зоны и желудочно-кишечного тракта. Успех в лечении таких пациентов во многом зависит от своевременности и точности постановки диагноза.

Пособие предназначено для врачей хирургов, интернов и ординаторов по специальности «Хирургия» и «Эндоскопия».

свернуть
Дополнительные материалы
Изображения 90

Ещё больше материалов после регистрации

Видео 0
В этом разделе еще нет дополнительных материалов, будьте первыми.
Аудио 0
В этом разделе еще нет дополнительных материалов, будьте первыми.
Документы 0
В этом разделе еще нет дополнительных материалов, будьте первыми.
Добавить материал
Большая медицинская библиотека
Методы диагностики механической желтухи : Учебно-методическое пособие / М. А. Агеев, Д. А. Славин, А. Н. Чугунов, Л. Е. Славин. - Казань : КГМА, 2018. - 48 c. - Текст : электронный // ЭБС "Букап" : [сайт]. - URL : https://www.books-up.ru/en/book/metody-diagnostiki-mehanicheskoj-zheltuhi-16058875/ (дата обращения: 18.05.2026). - Режим доступа : по подписке.
Подписка
12 месяцев
Read part of it

Неотложная хирургия - одно из наиболее актуальных, сложных и ответственных направлений хирургии. Пациенты пожилого и старческого возраста с механической желтухой различной этиологии толстой кишки составляют значительный контингент, госпитализируемый в хирургические стационары по экстренным показаниям. Издание реализовано с учетом опыта сотрудников кафедры и современных представлений о патогенезе, методах эндоскопической диагностики, клинических проявлениях и основных принципах лечения больных синдромом механической желтухи, обусловленной осложнениями патологии гепатопанкреатодуоденальной зоны и желудочно-кишечного тракта. Успех в лечении таких пациентов во многом зависит от своевременности и точности постановки диагноза.

Пособие предназначено для врачей хирургов, интернов и ординаторов по специальности «Хирургия» и «Эндоскопия».

свернуть

Дополнительные материалы

Ещё больше материалов после регистрации

В этом разделе еще нет дополнительных материалов, будьте первыми.
В этом разделе еще нет дополнительных материалов, будьте первыми.
В этом разделе еще нет дополнительных материалов, будьте первыми.
Добавить материал

Похожие книги