Размер шрифта:
Цвета сайта:
Изображения:
 

Руководство к практическим занятиям по общей и медицинской радиобиологии

Большая медицинская библиотека
Читать отрывок
Подписка
Читать отрывок
Скороходова М. Г. Руководство к практическим занятиям по общей и медицинской радиобиологии / М. Г. Скороходова, Е. Л. Никулина. - Томск : Издательство СибГМУ, 2020. - 184 c. - Текст : электронный // ЭБС "Букап" : [сайт]. - URL : https://www.books-up.ru/ru/book/rukovodstvo-k-prakticheskim-zanyatiyam-po-obcshej-i-medicinskoj-radiobiologii-10782349/ (дата обращения: 11.05.2026). - Режим доступа : по подписке.
Аннотация

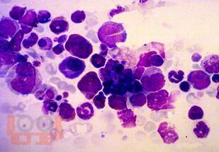
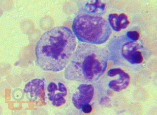
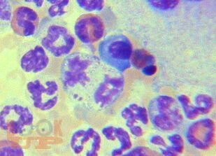
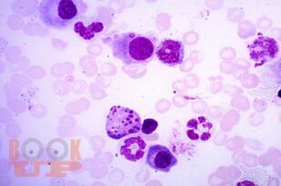
В учебно-методическом пособии представлена информация о лабораторных методах исследования реакций организма на воздействие ионизирующего излучения. Представлены некоторые гематологические, гистологические, цитогенетические, иммунологические и другие методы оценки эффектов облучения. Приведены методические подходы анализа количественных показателей периферической крови и костного мозга; описание морфологических особенностей кроветворной, пищеварительной, нервной, мочеполовой и других систем организма, возникших как последствия различных лучевых поражений, включая отдаленные. В пособии уделено внимание вопросам радиационной безопасности и современной гигиенической регламентации радиационного фактора.

Руководство иллюстрировано таблицами, рисунками, включает тестовые задания и ситуационные задачи, список рекомендуемой литературы.
Учебное пособие «Руководство к практическим занятиям по общей и медицинской радиобиологии» подготовлено по дисциплине «Общая и медицинская радиобиология» в соответствии с Федеральным государственным образовательным стандартом высшего профессионального образования для студентов, обучающихся по основным образовательным программам – программам специалитета по специальности «Медицинская биофизика».

свернуть
Дополнительные материалы
Изображения 9

Ещё больше материалов после регистрации

Видео 0
В этом разделе еще нет дополнительных материалов, будьте первыми.
Аудио 0
В этом разделе еще нет дополнительных материалов, будьте первыми.
Документы 0
В этом разделе еще нет дополнительных материалов, будьте первыми.
Добавить материал
Большая медицинская библиотека
Скороходова М. Г. Руководство к практическим занятиям по общей и медицинской радиобиологии / М. Г. Скороходова, Е. Л. Никулина. - Томск : Издательство СибГМУ, 2020. - 184 c. - Текст : электронный // ЭБС "Букап" : [сайт]. - URL : https://www.books-up.ru/ru/book/rukovodstvo-k-prakticheskim-zanyatiyam-po-obcshej-i-medicinskoj-radiobiologii-10782349/ (дата обращения: 11.05.2026). - Режим доступа : по подписке.
Подписка
6 месяцев
12 месяцев
Читать отрывок

В учебно-методическом пособии представлена информация о лабораторных методах исследования реакций организма на воздействие ионизирующего излучения. Представлены некоторые гематологические, гистологические, цитогенетические, иммунологические и другие методы оценки эффектов облучения. Приведены методические подходы анализа количественных показателей периферической крови и костного мозга; описание морфологических особенностей кроветворной, пищеварительной, нервной, мочеполовой и других систем организма, возникших как последствия различных лучевых поражений, включая отдаленные. В пособии уделено внимание вопросам радиационной безопасности и современной гигиенической регламентации радиационного фактора.

Руководство иллюстрировано таблицами, рисунками, включает тестовые задания и ситуационные задачи, список рекомендуемой литературы.
Учебное пособие «Руководство к практическим занятиям по общей и медицинской радиобиологии» подготовлено по дисциплине «Общая и медицинская радиобиология» в соответствии с Федеральным государственным образовательным стандартом высшего профессионального образования для студентов, обучающихся по основным образовательным программам – программам специалитета по специальности «Медицинская биофизика».

свернуть

Дополнительные материалы

Ещё больше материалов после регистрации

В этом разделе еще нет дополнительных материалов, будьте первыми.
В этом разделе еще нет дополнительных материалов, будьте первыми.
В этом разделе еще нет дополнительных материалов, будьте первыми.
Добавить материал

Похожие книги