Размер шрифта:
Цвета сайта:
Изображения:
 

Новый подход к лечению воспалительных заболеваний пародонта

3

Большая медицинская библиотека
Читать отрывок
Подписка
Читать отрывок
Новый подход к лечению воспалительных заболеваний пародонта : учебное пособие / С. В. Сирак, Т. Л. Кобылкина, В. Н. Ленев и др. - Ставрополь : СтГМУ, 2020. - 76 c. - ISBN 9785898226374. - Текст : электронный // ЭБС "Букап" : [сайт]. - URL : https://www.books-up.ru/ru/book/novyj-podhod-k-lecheniyu-vospalitelnyh-zabolevanij-parodonta-13862606/ (дата обращения: 10.05.2026). - Режим доступа : по подписке.
Аннотация

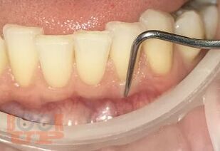
В учебном пособии описаны строение тканей пародонта, методы диагностики заболеваний пародонта, а также схемы лечения гингивитов и пародонтитов с применением современных препаратов. Большое внимание уделено современному препарату на основе гиалуроновой кислоты.

свернуть
Дополнительные материалы
Изображения 17

Ещё больше материалов после регистрации

Видео 0
В этом разделе еще нет дополнительных материалов, будьте первыми.
Аудио 0
В этом разделе еще нет дополнительных материалов, будьте первыми.
Документы 0
В этом разделе еще нет дополнительных материалов, будьте первыми.
Добавить материал
Большая медицинская библиотека
Новый подход к лечению воспалительных заболеваний пародонта : учебное пособие / С. В. Сирак, Т. Л. Кобылкина, В. Н. Ленев и др. - Ставрополь : СтГМУ, 2020. - 76 c. - ISBN 9785898226374. - Текст : электронный // ЭБС "Букап" : [сайт]. - URL : https://www.books-up.ru/ru/book/novyj-podhod-k-lecheniyu-vospalitelnyh-zabolevanij-parodonta-13862606/ (дата обращения: 10.05.2026). - Режим доступа : по подписке.
Подписка
6 месяцев
12 месяцев
Читать отрывок

В учебном пособии описаны строение тканей пародонта, методы диагностики заболеваний пародонта, а также схемы лечения гингивитов и пародонтитов с применением современных препаратов. Большое внимание уделено современному препарату на основе гиалуроновой кислоты.

свернуть

Дополнительные материалы

Ещё больше материалов после регистрации

В этом разделе еще нет дополнительных материалов, будьте первыми.
В этом разделе еще нет дополнительных материалов, будьте первыми.
В этом разделе еще нет дополнительных материалов, будьте первыми.
Добавить материал

Похожие книги