Размер шрифта:
Цвета сайта:
Изображения:
 

Лишай Видаля: экспериментальное и клиническое применение ультрафонофореза флюоцинолона ацетонида

Большая медицинская библиотека
Читать отрывок
Подписка
Читать отрывок
Лишай Видаля: экспериментальное и клиническое применение ультрафонофореза флюоцинолона ацетонида / И. А. Чиркина, А. А. Чиркин, Л. И. Богданович, В. М. Козин. - Витебск : ВГМУ, 2020. - 106 c. - ISBN 9789854667953. - Текст : электронный // ЭБС "Букап" : [сайт]. - URL : https://www.books-up.ru/ru/book/lishaj-vidalya-eksperimentalnoe-i-klinicheskoe-primenenie-ultrafonoforeza-flyuocinolona-acetonida-12146828/ (дата обращения: 17.05.2026). - Режим доступа : по подписке.
Аннотация

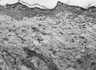
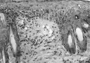
Монография предназначена для врачей дерматовенерологов, физиотерапевтов, врачей общей практики, студентов выших медВУЗОВ для эффективного и обоснованного применения метода ультрафонофореза флюоцинолона ацетонида у пациентов с простым хроническим лишаем (лишаем Видаля, ограниченного или очагового нейродермита).

свернуть
Дополнительные материалы
Изображения 14

Ещё больше материалов после регистрации

Видео 0
В этом разделе еще нет дополнительных материалов, будьте первыми.
Аудио 0
В этом разделе еще нет дополнительных материалов, будьте первыми.
Документы 0
В этом разделе еще нет дополнительных материалов, будьте первыми.
Добавить материал
Большая медицинская библиотека
Лишай Видаля: экспериментальное и клиническое применение ультрафонофореза флюоцинолона ацетонида / И. А. Чиркина, А. А. Чиркин, Л. И. Богданович, В. М. Козин. - Витебск : ВГМУ, 2020. - 106 c. - ISBN 9789854667953. - Текст : электронный // ЭБС "Букап" : [сайт]. - URL : https://www.books-up.ru/ru/book/lishaj-vidalya-eksperimentalnoe-i-klinicheskoe-primenenie-ultrafonoforeza-flyuocinolona-acetonida-12146828/ (дата обращения: 17.05.2026). - Режим доступа : по подписке.
Подписка
3 месяца
6 месяцев
12 месяцев
Читать отрывок

Монография предназначена для врачей дерматовенерологов, физиотерапевтов, врачей общей практики, студентов выших медВУЗОВ для эффективного и обоснованного применения метода ультрафонофореза флюоцинолона ацетонида у пациентов с простым хроническим лишаем (лишаем Видаля, ограниченного или очагового нейродермита).

свернуть

Дополнительные материалы

Ещё больше материалов после регистрации

В этом разделе еще нет дополнительных материалов, будьте первыми.
В этом разделе еще нет дополнительных материалов, будьте первыми.
В этом разделе еще нет дополнительных материалов, будьте первыми.
Добавить материал

Похожие книги