Размер шрифта:
Цвета сайта:
Изображения:
 

Хирургические болезни пищевода и кардии

Читать отрывок
Подписка
Читать отрывок
Хирургические болезни пищевода и кардии : руководство для врачей / Д. П. Шершень, И. Е. Онницев, М. В. Лазуткин и др. - 2-е изд. доп. и исправ.. - СПб. : СпецЛит, 2018. - 303 c. - ISBN 9785299007817. - Текст : электронный // ЭБС "Букап" : [сайт]. - URL : https://www.books-up.ru/ru/book/hirurgicheskie-bolezni-picshevoda-i-kardii-7279183/ (дата обращения: 03.05.2026). - Режим доступа : по подписке.
Аннотация

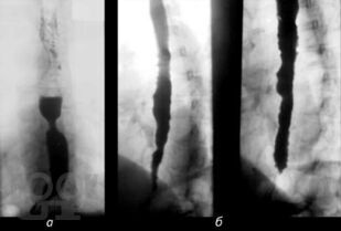
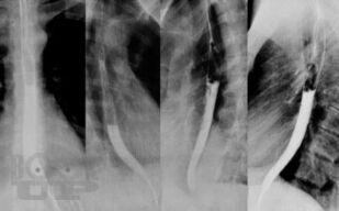
В книге изложены основные сведения по анатомии и патофизиологии пищевода и кардии, освещены вопросы клиники, диагностики, консервативного и оперативного лечения их хирургических заболеваний. С учетом последних достижений медицинской науки и практики описаны нервно-мышечные заболевания пищевода, гастроэзофагеальная рефлюксная болезнь, злокачественные новообразования, травмы, ожоги, болезни оперированного пищевода. Особое внимание уделено хирургической тактике и технике оперативных  вмешательств.
Книга представляет интерес не только для молодых начинающих, но и для опытных хирургов.

свернуть
Дополнительные материалы
Изображения 138

Ещё больше материалов после регистрации

Видео 0
В этом разделе еще нет дополнительных материалов, будьте первыми.
Аудио 0
В этом разделе еще нет дополнительных материалов, будьте первыми.
Документы 0
В этом разделе еще нет дополнительных материалов, будьте первыми.
Добавить материал
Хирургические болезни пищевода и кардии : руководство для врачей / Д. П. Шершень, И. Е. Онницев, М. В. Лазуткин и др. - 2-е изд. доп. и исправ.. - СПб. : СпецЛит, 2018. - 303 c. - ISBN 9785299007817. - Текст : электронный // ЭБС "Букап" : [сайт]. - URL : https://www.books-up.ru/ru/book/hirurgicheskie-bolezni-picshevoda-i-kardii-7279183/ (дата обращения: 03.05.2026). - Режим доступа : по подписке.
Подписка
6 месяцев
12 месяцев
Читать отрывок

В книге изложены основные сведения по анатомии и патофизиологии пищевода и кардии, освещены вопросы клиники, диагностики, консервативного и оперативного лечения их хирургических заболеваний. С учетом последних достижений медицинской науки и практики описаны нервно-мышечные заболевания пищевода, гастроэзофагеальная рефлюксная болезнь, злокачественные новообразования, травмы, ожоги, болезни оперированного пищевода. Особое внимание уделено хирургической тактике и технике оперативных  вмешательств.
Книга представляет интерес не только для молодых начинающих, но и для опытных хирургов.

свернуть

Дополнительные материалы

Ещё больше материалов после регистрации

В этом разделе еще нет дополнительных материалов, будьте первыми.
В этом разделе еще нет дополнительных материалов, будьте первыми.
В этом разделе еще нет дополнительных материалов, будьте первыми.
Добавить материал

Похожие книги