Размер шрифта:
Цвета сайта:
Изображения:
 

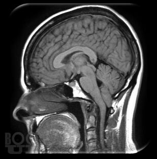
Аномалия Арнольда-Киари

Большая медицинская библиотека
Читать отрывок
Подписка
Читать отрывок
Аномалия Арнольда-Киари / Ш. М. Сафин, В. А. Хачатрян, А. Б. Гехтман и др. - Уфа : БГМУ, 2020. - 76 c. - Текст : электронный // ЭБС "Букап" : [сайт]. - URL : https://www.books-up.ru/ru/book/anomaliya-arnolda-kiari-11723174/ (дата обращения: 23.05.2026). - Режим доступа : по подписке.
Аннотация

Подготовлено в соответствии с требованиями ФГОС ВО (уровень подготовки кадров высшей квалификации — программа ординатуры по специальности 31.08.56 Нейрохирургия), утвержденного Министерством образования и науки РФ(Приказ № 1099 от 25 августа 2014 года), основной образовательной программой (ООП) высшего образования — уровень подготовки кадров высшей квалификации — программой ординатуры по специальности 31.08.56 Нейрохирургия, на основании рабочей прораммы по дисциплине Нейрохирургия и действующего учебного плана.
В нем освещены вопросы патогенеза, современные принципы диагностики, лечебные тактики и клинические исследования пациентов с аномалией Арнольда-Киари. Пособие снабжено тестовыми заданиями и ситуационными задачами с эталонами ответов. Предназначено для обучающихся по программе ординатуры по специальности 31.08.56 Нейрохирургия.

свернуть
Дополнительные материалы
Изображения 35

Ещё больше материалов после регистрации

Видео 0
В этом разделе еще нет дополнительных материалов, будьте первыми.
Аудио 0
В этом разделе еще нет дополнительных материалов, будьте первыми.
Документы 0
В этом разделе еще нет дополнительных материалов, будьте первыми.
Добавить материал
Большая медицинская библиотека
Аномалия Арнольда-Киари / Ш. М. Сафин, В. А. Хачатрян, А. Б. Гехтман и др. - Уфа : БГМУ, 2020. - 76 c. - Текст : электронный // ЭБС "Букап" : [сайт]. - URL : https://www.books-up.ru/ru/book/anomaliya-arnolda-kiari-11723174/ (дата обращения: 23.05.2026). - Режим доступа : по подписке.
Подписка
6 месяцев
12 месяцев
Читать отрывок

Подготовлено в соответствии с требованиями ФГОС ВО (уровень подготовки кадров высшей квалификации — программа ординатуры по специальности 31.08.56 Нейрохирургия), утвержденного Министерством образования и науки РФ(Приказ № 1099 от 25 августа 2014 года), основной образовательной программой (ООП) высшего образования — уровень подготовки кадров высшей квалификации — программой ординатуры по специальности 31.08.56 Нейрохирургия, на основании рабочей прораммы по дисциплине Нейрохирургия и действующего учебного плана.
В нем освещены вопросы патогенеза, современные принципы диагностики, лечебные тактики и клинические исследования пациентов с аномалией Арнольда-Киари. Пособие снабжено тестовыми заданиями и ситуационными задачами с эталонами ответов. Предназначено для обучающихся по программе ординатуры по специальности 31.08.56 Нейрохирургия.

свернуть

Дополнительные материалы

Ещё больше материалов после регистрации

В этом разделе еще нет дополнительных материалов, будьте первыми.
В этом разделе еще нет дополнительных материалов, будьте первыми.
В этом разделе еще нет дополнительных материалов, будьте первыми.
Добавить материал

Похожие книги