Размер шрифта:
Цвета сайта:
Изображения:
 

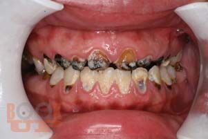
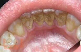
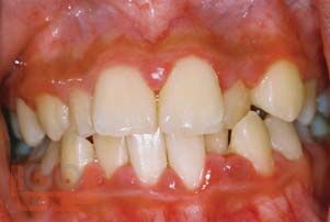
Галитоз

Большая медицинская библиотека
Read part of it
Подписка
Read part of it
Успенская О. А. Галитоз : учебное пособие / О. А. Успенская, Н. В. Тиунова. - Н. Новгород : Издательство ПИМУ (НижГМА), 2016. - 72 c. - ISBN 9785703210963. - Текст : электронный // ЭБС "Букап" : [сайт]. - URL : https://www.books-up.ru/en/book/galitoz-12961981/ (дата обращения: 15.05.2026). - Режим доступа : по подписке.
Аннотация

В учебном пособии систематизированы, обобщены и подробно изложены этиология, патогенез, диагностика галитоза. Детально рассмотрены современные методы лечения галитоза.
Пособие предназначено для студентов, обучающихся по специальности «Стоматология».

свернуть
Дополнительные материалы
Изображения 43

Ещё больше материалов после регистрации

Видео 0
В этом разделе еще нет дополнительных материалов, будьте первыми.
Аудио 0
В этом разделе еще нет дополнительных материалов, будьте первыми.
Документы 0
В этом разделе еще нет дополнительных материалов, будьте первыми.
Добавить материал
Большая медицинская библиотека
Успенская О. А. Галитоз : учебное пособие / О. А. Успенская, Н. В. Тиунова. - Н. Новгород : Издательство ПИМУ (НижГМА), 2016. - 72 c. - ISBN 9785703210963. - Текст : электронный // ЭБС "Букап" : [сайт]. - URL : https://www.books-up.ru/en/book/galitoz-12961981/ (дата обращения: 15.05.2026). - Режим доступа : по подписке.
Подписка
12 месяцев
Read part of it

В учебном пособии систематизированы, обобщены и подробно изложены этиология, патогенез, диагностика галитоза. Детально рассмотрены современные методы лечения галитоза.
Пособие предназначено для студентов, обучающихся по специальности «Стоматология».

свернуть

Дополнительные материалы

Ещё больше материалов после регистрации

В этом разделе еще нет дополнительных материалов, будьте первыми.
В этом разделе еще нет дополнительных материалов, будьте первыми.
В этом разделе еще нет дополнительных материалов, будьте первыми.
Добавить материал

Похожие книги