Размер шрифта:
Цвета сайта:
Изображения:
 

Травмы челюстно-лицевой области

Большая медицинская библиотека
Read part of it
Подписка
Read part of it
Травмы челюстно-лицевой области : рабочая тетрадь для самостоятельной подготовки и контроля усвоения компетенции модуля ординаторов, обучающихся по специальности 31.08.74 – Стоматология хирургическая / С. В. Аверьянов, Э. И. Галиева, Л. А. Рябых, А. З. Мингазева. - Уфа : БГМУ, 2019. - 53 c. - Текст : электронный // ЭБС "Букап" : [сайт]. - URL : https://www.books-up.ru/en/book/travmy-chelyustno-licevoj-oblasti-13773712/ (дата обращения: 14.01.2026). - Режим доступа : по подписке.
Рекомендовано Координационным советом по области образования "Здравоохранение и медицинские науки" в качестве учебного пособия для использования в образовательных учреждениях, реализующих основные профессиональные образовательные программы высшего образования.
Аннотация

Пособие для самостоятельной подготовки и контроля усвоения компетенции модуля «Травмы челюстно-лицевой области» ординаторов, обучающихся по специальности 31.08.74– Стоматология хирургическая подготовлено в соответствии с профессиональными стандартами и требованиями ФГОС ВО, обязательных при реализации основных образовательных программ высшего образования — программ подготовки кадров высшей квалификации в ординатуре и обеспечивающих решение профессиональных задач в процессе осуществления всех видов профессиональной деятельности по специальности «Стоматология хирургическая».
Представляет собой сборник заданий, предназначенных для повышения качества подготовки ординаторов и приобретения ими новых знаний при изучении модуля «Травмы челюстно-лицевой области».
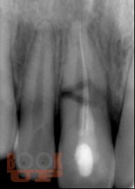
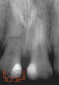
Представление материала сопровождается авторскими рисунками, фотографиями данными рентгенологических методов исследования, описанием клинических примеров.
Предназначено в качестве учебного наглядного издания для ординаторов, обучающихся по специальности «Стоматология хирургическая».

свернуть
Дополнительные материалы
Изображения 18

Ещё больше материалов после регистрации

Видео 0
В этом разделе еще нет дополнительных материалов, будьте первыми.
Аудио 0
В этом разделе еще нет дополнительных материалов, будьте первыми.
Документы 0
В этом разделе еще нет дополнительных материалов, будьте первыми.
Добавить материал
Большая медицинская библиотека
Травмы челюстно-лицевой области : рабочая тетрадь для самостоятельной подготовки и контроля усвоения компетенции модуля ординаторов, обучающихся по специальности 31.08.74 – Стоматология хирургическая / С. В. Аверьянов, Э. И. Галиева, Л. А. Рябых, А. З. Мингазева. - Уфа : БГМУ, 2019. - 53 c. - Текст : электронный // ЭБС "Букап" : [сайт]. - URL : https://www.books-up.ru/en/book/travmy-chelyustno-licevoj-oblasti-13773712/ (дата обращения: 14.01.2026). - Режим доступа : по подписке.
Рекомендовано Координационным советом по области образования "Здравоохранение и медицинские науки" в качестве учебного пособия для использования в образовательных учреждениях, реализующих основные профессиональные образовательные программы высшего образования.
Подписка
6 месяцев
12 месяцев
Read part of it

Пособие для самостоятельной подготовки и контроля усвоения компетенции модуля «Травмы челюстно-лицевой области» ординаторов, обучающихся по специальности 31.08.74– Стоматология хирургическая подготовлено в соответствии с профессиональными стандартами и требованиями ФГОС ВО, обязательных при реализации основных образовательных программ высшего образования — программ подготовки кадров высшей квалификации в ординатуре и обеспечивающих решение профессиональных задач в процессе осуществления всех видов профессиональной деятельности по специальности «Стоматология хирургическая».
Представляет собой сборник заданий, предназначенных для повышения качества подготовки ординаторов и приобретения ими новых знаний при изучении модуля «Травмы челюстно-лицевой области».
Представление материала сопровождается авторскими рисунками, фотографиями данными рентгенологических методов исследования, описанием клинических примеров.
Предназначено в качестве учебного наглядного издания для ординаторов, обучающихся по специальности «Стоматология хирургическая».

свернуть

Дополнительные материалы

Ещё больше материалов после регистрации

В этом разделе еще нет дополнительных материалов, будьте первыми.
В этом разделе еще нет дополнительных материалов, будьте первыми.
В этом разделе еще нет дополнительных материалов, будьте первыми.
Добавить материал

Похожие книги