Размер шрифта:
Цвета сайта:
Изображения:
 

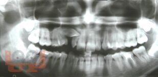
Ретенция зубов

Большая медицинская библиотека
Read part of it
Подписка
Read part of it
Аверьянов С. В. Ретенция зубов : учебное пособие / С. В. Аверьянов. - Уфа : БГМУ, 2021. - 80 c. - Текст : электронный // ЭБС "Букап" : [сайт]. - URL : https://www.books-up.ru/en/book/retenciya-zubov-13779298/ (дата обращения: 20.05.2026). - Режим доступа : по подписке.
Аннотация

Учебное пособие составлено в соответствии с требованиями ФГОС ВО 3++ по специальностям ординатуры: 31.08.74 «Стоматология хирургическая», 31.08.77 «Ортодонтия», 31.08.73 «Стоматология детская», 31.08.69 «Челюстно-лицевая хирургия» и профессионального стандарта «Врач-стоматолог», профессионального стандарта «Врач-челюстно-лицевой хирург».
В пособии на современном уровне подробно изложены вопросы эпидемиологии, этиологии ретенированных зубов, особенности клинической картины этой аномалии. Особое внимание уделено диагностике и лечению данной патологии.
Представлены тестовые задания и ситуационные задачи с эталонами ответов. В пособии представлены авторские фотографии пациентов.
Предназначено для врачей – стоматологов, ординаторов и врачей стоматологических специальностей, обучающихся на циклах повышения квалификации и профессиональной переподготовки.

свернуть
Дополнительные материалы
Изображения 14

Ещё больше материалов после регистрации

Видео 0
В этом разделе еще нет дополнительных материалов, будьте первыми.
Аудио 0
В этом разделе еще нет дополнительных материалов, будьте первыми.
Документы 0
В этом разделе еще нет дополнительных материалов, будьте первыми.
Добавить материал
Большая медицинская библиотека
Аверьянов С. В. Ретенция зубов : учебное пособие / С. В. Аверьянов. - Уфа : БГМУ, 2021. - 80 c. - Текст : электронный // ЭБС "Букап" : [сайт]. - URL : https://www.books-up.ru/en/book/retenciya-zubov-13779298/ (дата обращения: 20.05.2026). - Режим доступа : по подписке.
Подписка
6 месяцев
12 месяцев
Read part of it

Учебное пособие составлено в соответствии с требованиями ФГОС ВО 3++ по специальностям ординатуры: 31.08.74 «Стоматология хирургическая», 31.08.77 «Ортодонтия», 31.08.73 «Стоматология детская», 31.08.69 «Челюстно-лицевая хирургия» и профессионального стандарта «Врач-стоматолог», профессионального стандарта «Врач-челюстно-лицевой хирург».
В пособии на современном уровне подробно изложены вопросы эпидемиологии, этиологии ретенированных зубов, особенности клинической картины этой аномалии. Особое внимание уделено диагностике и лечению данной патологии.
Представлены тестовые задания и ситуационные задачи с эталонами ответов. В пособии представлены авторские фотографии пациентов.
Предназначено для врачей – стоматологов, ординаторов и врачей стоматологических специальностей, обучающихся на циклах повышения квалификации и профессиональной переподготовки.

свернуть

Дополнительные материалы

Ещё больше материалов после регистрации

В этом разделе еще нет дополнительных материалов, будьте первыми.
В этом разделе еще нет дополнительных материалов, будьте первыми.
В этом разделе еще нет дополнительных материалов, будьте первыми.
Добавить материал

Похожие книги