Размер шрифта:
Цвета сайта:
Изображения:
 

Злокачественные новообразования у детей

Большая медицинская библиотека
Читать отрывок
Подписка
Читать отрывок
Злокачественные новообразования у детей : Монография / Н. В. Малюжинская, М. А. Моргунова, И. В. Петрова и др. - Волгоград : ВолгГМУ, 2023. - 416 c. - ISBN 9785965208272. - Текст : электронный // ЭБС "Букап" : [сайт]. - URL : https://www.books-up.ru/ru/book/zlokachestvennye-novoobrazovaniya-u-detej-16266693/ (дата обращения: 08.05.2026). - Режим доступа : по подписке.
Аннотация

В монографии представлены современные взгляды на злокачественные новообразования детского возраста; обсуждение вопросов этиологии и эпидемиологии детского рака, принципов стадирования и лечения согласно клиническим рекомендациям, обзора применяемых специальных методов лечения (химиотерапия, лучевая терапия, показания для хирургического вмешательства и трансплантации гемопоэтических стволовых клеток, вспомогательные методы лечения, иммунотерапия).

Монография предназначена для обучающихся по специальности «Педиатрия» при изучении дисциплин «Неврология, медицинская генетика, нейрохирургия», «Факультетская педиатрия, эндокринология», «Госпитальная педиатрия».

свернуть
Дополнительные материалы
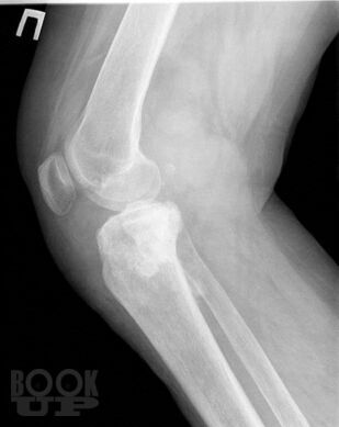
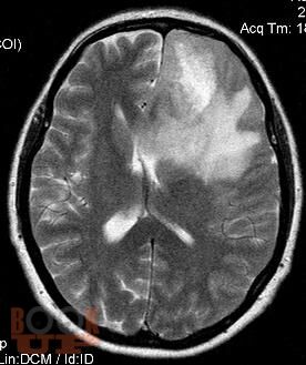
Изображения 61

Ещё больше материалов после регистрации

Видео 0
В этом разделе еще нет дополнительных материалов, будьте первыми.
Аудио 0
В этом разделе еще нет дополнительных материалов, будьте первыми.
Документы 0
В этом разделе еще нет дополнительных материалов, будьте первыми.
Добавить материал
Большая медицинская библиотека
Злокачественные новообразования у детей : Монография / Н. В. Малюжинская, М. А. Моргунова, И. В. Петрова и др. - Волгоград : ВолгГМУ, 2023. - 416 c. - ISBN 9785965208272. - Текст : электронный // ЭБС "Букап" : [сайт]. - URL : https://www.books-up.ru/ru/book/zlokachestvennye-novoobrazovaniya-u-detej-16266693/ (дата обращения: 08.05.2026). - Режим доступа : по подписке.
Подписка
6 месяцев
12 месяцев
Читать отрывок

В монографии представлены современные взгляды на злокачественные новообразования детского возраста; обсуждение вопросов этиологии и эпидемиологии детского рака, принципов стадирования и лечения согласно клиническим рекомендациям, обзора применяемых специальных методов лечения (химиотерапия, лучевая терапия, показания для хирургического вмешательства и трансплантации гемопоэтических стволовых клеток, вспомогательные методы лечения, иммунотерапия).

Монография предназначена для обучающихся по специальности «Педиатрия» при изучении дисциплин «Неврология, медицинская генетика, нейрохирургия», «Факультетская педиатрия, эндокринология», «Госпитальная педиатрия».

свернуть

Дополнительные материалы

Ещё больше материалов после регистрации

В этом разделе еще нет дополнительных материалов, будьте первыми.
В этом разделе еще нет дополнительных материалов, будьте первыми.
В этом разделе еще нет дополнительных материалов, будьте первыми.
Добавить материал

Похожие книги