Размер шрифта:
Цвета сайта:
Изображения:
 

Внутричерепная гипертензия: патофизиология, мониторинг, лечение

Читать отрывок
Подписка
Читать отрывок
Ошоров А. В. Внутричерепная гипертензия: патофизиология, мониторинг, лечение : Руководство для врачей / А. В. Ошоров, И. А. Савин, А. С. Горячев. - Москва : Аксиом Графикс Юнион, 2021. - 672 c. - Текст : электронный // ЭБС "Букап" : [сайт]. - URL : https://www.books-up.ru/ru/book/vnutricherepnaya-gipertenziya-patofiziologiya-monitoring-lechenie-16724453/ (дата обращения: 20.05.2026). - Режим доступа : по подписке.
Аннотация

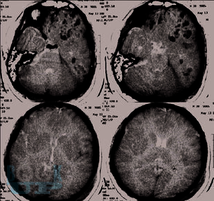
В этой книге мы рассказываем о динамике и взаимосвязи патологических процессов. Эти знания позволяют обосновать вашу тактику. В книге обсуждаются взаимосвязь первичного и вторичного повреждения мозга. Как внутричерепная гипертензия приводит к дислокациям и вклинениям головного мозга и/или нарушениям кровоснабжения мозга. Обсуждается регуляция тонуса сосудов мозга в норме и патологии. Зависимость церебрального перфузионного давления от среднего артериального давления, внутричерепного давления и сохранности ауторегуляции тонуса мозговых сосудов. Рассматриваем варианты отека мозга и возможности лечения. Мы рассказываем как на основе результатов мониторинга внутричерепного давления принимаются решения о том как лечить пациента.

свернуть
Дополнительные материалы
Изображения 5

Ещё больше материалов после регистрации

Видео 0
В этом разделе еще нет дополнительных материалов, будьте первыми.
Аудио 0
В этом разделе еще нет дополнительных материалов, будьте первыми.
Документы 0
В этом разделе еще нет дополнительных материалов, будьте первыми.
Добавить материал
Ошоров А. В. Внутричерепная гипертензия: патофизиология, мониторинг, лечение : Руководство для врачей / А. В. Ошоров, И. А. Савин, А. С. Горячев. - Москва : Аксиом Графикс Юнион, 2021. - 672 c. - Текст : электронный // ЭБС "Букап" : [сайт]. - URL : https://www.books-up.ru/ru/book/vnutricherepnaya-gipertenziya-patofiziologiya-monitoring-lechenie-16724453/ (дата обращения: 20.05.2026). - Режим доступа : по подписке.
Подписка
12 месяцев
Читать отрывок

В этой книге мы рассказываем о динамике и взаимосвязи патологических процессов. Эти знания позволяют обосновать вашу тактику. В книге обсуждаются взаимосвязь первичного и вторичного повреждения мозга. Как внутричерепная гипертензия приводит к дислокациям и вклинениям головного мозга и/или нарушениям кровоснабжения мозга. Обсуждается регуляция тонуса сосудов мозга в норме и патологии. Зависимость церебрального перфузионного давления от среднего артериального давления, внутричерепного давления и сохранности ауторегуляции тонуса мозговых сосудов. Рассматриваем варианты отека мозга и возможности лечения. Мы рассказываем как на основе результатов мониторинга внутричерепного давления принимаются решения о том как лечить пациента.

свернуть

Дополнительные материалы

Ещё больше материалов после регистрации

В этом разделе еще нет дополнительных материалов, будьте первыми.
В этом разделе еще нет дополнительных материалов, будьте первыми.
В этом разделе еще нет дополнительных материалов, будьте первыми.
Добавить материал

Похожие книги