Размер шрифта:
Цвета сайта:
Изображения:
 

Relationship between systemic and dental diseases. Management of dental patients with comorbidities

Читать отрывок
Подписка
Читать отрывок
Relationship between systemic and dental diseases. Management of dental patients with comorbidities = Взаимосвязь соматических и основных стоматологических заболеваний. Особенности ведения пациентов стоматологических клиник с коморбидной патологией : учебное пособие для студентов стоматологического факультета на английском языке : a tutorial for english-medium dentistry students / В. Н. Наумова, Ю. В. Рудова, Е. Е. Маслак, Т. В. Колесова. - Волгоград : ВолгГМУ, 2021. - 48 c. - ISBN 9785965206278. - Текст : электронный // ЭБС "Букап" : [сайт]. - URL : https://www.books-up.ru/ru/book/relationship-between-systemic-and-dental-diseases-management-of-dental-patients-with-comorbidities-15056219/ (дата обращения: 27.04.2026). - Режим доступа : по подписке.
Аннотация

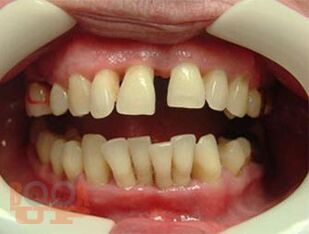
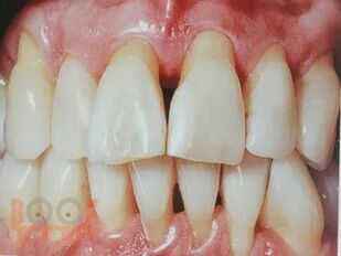
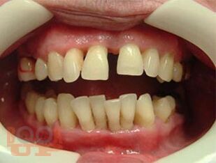
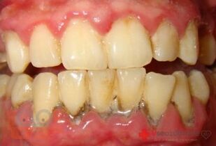
The tutorial caters to English-medium students of dentistry. It is aimed at teaching dental students theoretical concepts behind the clinical practice in dental therapy and prosthodontics including basic dental procedures and initial professional skills. The tutorial is designed in line with the learning objectives set out in the “Propaedeutics of dental diseases” course syllabus.

Учебное пособие предназначено для студентов стоматологического факультета, обучающихся на английском языке. Оно направлено на обучение студентов-стоматологов теории и клинической практике в области терапевтической и ортопедической стоматологии, включая основные стоматологические манипуляции и начальные профессиональные навыки. Учебное пособие разработано в соответствии с целями обучения, изложенными в программе дисциплины «Пропедевтика стоматологических заболеваний».

свернуть
Дополнительные материалы
Изображения 6

Ещё больше материалов после регистрации

Видео 0
В этом разделе еще нет дополнительных материалов, будьте первыми.
Аудио 0
В этом разделе еще нет дополнительных материалов, будьте первыми.
Документы 0
В этом разделе еще нет дополнительных материалов, будьте первыми.
Добавить материал
Relationship between systemic and dental diseases. Management of dental patients with comorbidities = Взаимосвязь соматических и основных стоматологических заболеваний. Особенности ведения пациентов стоматологических клиник с коморбидной патологией : учебное пособие для студентов стоматологического факультета на английском языке : a tutorial for english-medium dentistry students / В. Н. Наумова, Ю. В. Рудова, Е. Е. Маслак, Т. В. Колесова. - Волгоград : ВолгГМУ, 2021. - 48 c. - ISBN 9785965206278. - Текст : электронный // ЭБС "Букап" : [сайт]. - URL : https://www.books-up.ru/ru/book/relationship-between-systemic-and-dental-diseases-management-of-dental-patients-with-comorbidities-15056219/ (дата обращения: 27.04.2026). - Режим доступа : по подписке.
Подписка
6 месяцев
12 месяцев
Читать отрывок

The tutorial caters to English-medium students of dentistry. It is aimed at teaching dental students theoretical concepts behind the clinical practice in dental therapy and prosthodontics including basic dental procedures and initial professional skills. The tutorial is designed in line with the learning objectives set out in the “Propaedeutics of dental diseases” course syllabus.

Учебное пособие предназначено для студентов стоматологического факультета, обучающихся на английском языке. Оно направлено на обучение студентов-стоматологов теории и клинической практике в области терапевтической и ортопедической стоматологии, включая основные стоматологические манипуляции и начальные профессиональные навыки. Учебное пособие разработано в соответствии с целями обучения, изложенными в программе дисциплины «Пропедевтика стоматологических заболеваний».

свернуть

Дополнительные материалы

Ещё больше материалов после регистрации

В этом разделе еще нет дополнительных материалов, будьте первыми.
В этом разделе еще нет дополнительных материалов, будьте первыми.
В этом разделе еще нет дополнительных материалов, будьте первыми.
Добавить материал

Похожие книги